切换至 "中华医学电子期刊资源库"

中华乳腺病杂志(电子版) ›› 2026, Vol. 20 ›› Issue (01) : 60 -63. doi: 10.3877/cma.j.issn.1674-0807.2026.01.009

病例报告

男性隐匿性乳腺癌一例
仲洋杨1, 邓舒瑶2, 李永杰3, 李庄1,()   
  1. 1 671000 大理,大理大学第一附属医院甲乳外科
    2 671000 大理,大理大学第一附属医院消化内科
    3 671000 大理,大理大学第一附属医院呼吸内科
  • 收稿日期:2025-10-15 出版日期:2026-02-01
  • 通信作者: 李庄

Male occult breast cancer: one case report

Yangyang Zhong, Shuyao Deng, Yongjie Li   

  • Received:2025-10-15 Published:2026-02-01
引用本文:

仲洋杨, 邓舒瑶, 李永杰, 李庄. 男性隐匿性乳腺癌一例[J/OL]. 中华乳腺病杂志(电子版), 2026, 20(01): 60-63.

Yangyang Zhong, Shuyao Deng, Yongjie Li. Male occult breast cancer: one case report[J/OL]. Chinese Journal of Breast Disease(Electronic Edition), 2026, 20(01): 60-63.

图1 男性隐匿性乳腺癌患者术前右侧腋窝超声图 注:线条勾画区示不均质低回声包块,形态不规则,边界模糊
图2 男性隐匿性乳腺癌患者术前乳腺超声图 注:绿色方框示右侧腋窝低回声结节,考虑转移性淋巴结
图3 男性隐匿性乳腺癌患者术前乳腺MRI增强扫描图 注:箭头示右侧腋窝可见结节状强化灶伴淋巴结增大,提示转移性病变,乳腺内未见明确原发灶
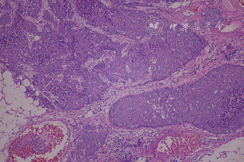
图4 男性隐匿性乳腺癌患者右侧腋窝皮下肿块切除术后病理图(HE ×200) 注:肿瘤细胞呈巢团状排列,符合浸润性导管癌形态
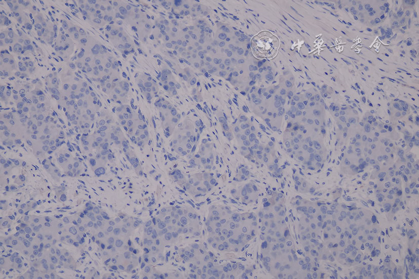
图5 男性隐匿性乳腺癌患者右侧腋窝皮下肿块切除术后免疫组织化学图(EnVision ×200) 注:显示CK20(-)
图6 男性隐匿性乳腺癌患者右乳改良根治术后病理图(HE ×200) 注:腋窝淋巴结内见癌栓
图7 男性隐匿性乳腺癌患者右乳改良根治术后免疫组织化学图(EnVision ×200) A图示ER(+);B图示 PR(+);C图示HER-2(2+);D图示Ki-67(5%+)
图8 男性隐匿性乳腺癌患者荧光原位杂交检测图(HER-2/CEP17探针 ×1 000)
[1]
He MTang LCYu KD,et al. Treatment outcomes and unfavorable prognostic factors in patients with occult breast cancer [J]. Eur J Surg Oncol EJSO201238(11):1022-1028.
[2]
Sah AKChoudhary RKSabrievna VA,et al. Male breast cancer:epidemiology,diagnosis,molecular mechanisms,therapeutics,and future prospective [J]. Oncol Res202534(1):7.
[3]
Wild JBThrush SVidya R. What can national registry data tell us about occult breast cancer? [J]. Chin Clin Oncol20198(S1):S15.
[4]
中国临床肿瘤学会指南工作委员会. 中国临床肿瘤学会(CSCO)乳腺癌诊疗指南-2025[M]. 北京:人民卫生出版社,2025.
[5]
庄梓林,聂燕. 美国国立综合癌症网络临床实践指南:乳腺癌诊疗(2024. V5)解读 [J]. 临床外科杂志202533(1):11-14.
[6]
Wang XYFan LWYan WX,et al. Axillary lymph node metastasis as the first manifestation of male occult breast cancer:a case report [J]. Medicine (Baltimore)201897(50):e13706.
[7]
Cardoso FKyriakides SOhno S,et al. Early breast cancer:ESMO Clinical Practice Guidelines for diagnosis,treatment and follow-up [J]. Ann Oncol201930(8):1194-1220.
[8]
Guo YWYu PLiu ZM,et al. Prognostic and clinicopathological value of GATA binding protein 3 in breast cancer:a systematic review and meta-analysis [J]. PLoS One201712(4):e0174843.
[9]
Giordano SH. Breast cancer in men [J]. N Engl J Med2018378(24):2311-2320.
[10]
Walker GVSmith GLPerkins GH,et al. Population-based analysis of occult primary breast cancer with axillary lymph node metastasis [J]. Cancer2010116(17):4000-4006.
[11]
Early Breast Cancer Trialists' Collaborative Group (EBCTCG). Radiotherapy to regional nodes in early breast cancer:an individual patient data meta-analysis of 14 324 women in 16 trials [J]. Lancet2023402(10416):1991-2003.
[12]
Ge IErbes TJuhasz-Böss I. Prognostic value and management of regional lymph nodes in locoregional breast cancer recurrence:a systematic review of the literature [J]. Arch Gynecol Obstet2022306(4):943-957.
[13]
丁颖,龙汉安,叶入裴,等. 男性乳腺癌与女性乳腺癌临床病理学特征对比分析 [J]. 西南医科大学学报201942(1):40-43.
[14]
Johnston SRDToi MO'Shaughnessy J,et al. Abemaciclib plus endocrine therapy for hormone receptor-positive,HER2-negative,node-positive,high-risk early breast cancer (monarchE):results from a preplanned interim analysis of a randomised,open-label,phase 3 trial [J]. Lancet Oncol202324(1):77-90.
[15]
Piezzo MCocco SCaputo R,et al. Targeting cell cycle in breast cancer:CDK4/6 inhibitors [J]. Int J Mol Sci202021(18):6479.
[16]
中国药学会医院药学专业委员会,《乳腺癌CDK4/6抑制剂药物相互作用管理专家共识》工作组. 乳腺癌CDK4/6抑制剂药物相互作用管理专家共识(2024版)[J].中国医院药学杂志202545(22):2545-2555,2611.
[17]
Xu BZhang QZhang P,et al. Dalpiciclib or placebo plus fulvestrant in hormone receptor-positive and HER2-negative advanced breast cancer:a randomized,phase 3 trial [J]. Nat Med202127(11):1904-1909.
[18]
Montagna EBagnardi VRotmensz N,et al. Immunohistochemically defined subtypes and outcome in occult breast carcinoma with axillary presentation [J]. Breast Cancer Res Treat2011129(3):867-875.
[1] 中华医学会超声医学分会, 中国研究型医院肿瘤介入治疗委员会, 中国妇幼保健协会乳腺保健专业委员会, 中华医学会肿瘤学分会乳腺癌专业委员会, 中国抗癌协会乳腺癌专业委员会, 中国人体健康科技促进会乳腺专业委员会. 无手术适应证乳腺癌消融治疗专家共识(2025版)[J/OL]. 中华乳腺病杂志(电子版), 2026, 20(01): 1-8.
[2] 陈阔, 齐晓伟, 宋达疆, 吕鹏威. 机器人技术在乳腺外科的临床应用[J/OL]. 中华乳腺病杂志(电子版), 2026, 20(01): 9-15.
[3] 伍秋苑, 张敏, 陈芷彦, 程妹, 陈佩贤, 黄慧琦, 杨树青, 叶国麟, 邓裕华, 熊亚明, 金亚彬, 周丹. KIF18A表达影响三阴性乳腺癌细胞恶性生物学行为[J/OL]. 中华乳腺病杂志(电子版), 2026, 20(01): 16-24.
[4] 董晓培, 袁洋, 李健斌, 宋华, 李凡, 郝艺, 边莉, 王涛, 江泽飞, 张少华. 激素受体阳性、HER-2阴性乳腺癌首发单纯骨转移患者不同一线治疗方式的预后分析[J/OL]. 中华乳腺病杂志(电子版), 2026, 20(01): 25-33.
[5] 李荣, 肖正权, 王龙, 张欢. 乳腺癌放射治疗患者放射性皮炎发生率及影响因素的Meta分析[J/OL]. 中华乳腺病杂志(电子版), 2026, 20(01): 34-43.
[6] 邵长华, 刘艳芳, 李恒宇. 产后乳腺癌的临床特征和干预策略[J/OL]. 中华乳腺病杂志(电子版), 2026, 20(01): 44-48.
[7] 栗家兴, 程紫轩, 吕欣悦, 王江芬, 张晶晶, 张亚芬. 肿瘤浸润淋巴细胞在乳腺癌免疫治疗中的作用及其预后预测价值[J/OL]. 中华乳腺病杂志(电子版), 2026, 20(01): 49-54.
[8] 深圳市医学会乳腺病学分会, 深圳市医学会肿瘤学分会, 深圳市医师协会乳腺专科医师分会, 深圳市健康管理协会乳房健康与康复管理专业委员会, 深圳市抗癌协会乳腺癌专业委员会, 深圳市抗癌协会肿瘤放射治疗专业委员会, 深圳市中西医结合学会甲状腺乳腺病专业委员会. 乳腺癌新辅助治疗的疗效预测和疗效评价专家共识(2025版)[J/OL]. 中华乳腺病杂志(电子版), 2025, 19(06): 321-330.
[9] 李雨秋, 莫红楠. 乳腺癌肿瘤微环境特征及免疫治疗新进展[J/OL]. 中华乳腺病杂志(电子版), 2025, 19(06): 331-338.
[10] 金烨莹, 王艺璇, 杨瑞. 基于单细胞RNA测序的乳腺癌肿瘤相关巨噬细胞亚群鉴定与临床预后分析[J/OL]. 中华乳腺病杂志(电子版), 2025, 19(06): 339-347.
[11] 王天艺, 李筝, 许锐. 激素受体阳性/HER-2阴性早期乳腺癌的新辅助治疗[J/OL]. 中华乳腺病杂志(电子版), 2025, 19(06): 352-357.
[12] 刘锦婷, 梁高强, 李文涛. 乳房切除术后感觉功能重建的研究进展[J/OL]. 中华乳腺病杂志(电子版), 2025, 19(06): 358-361.
[13] 邓宝, 郭子琳, 仲雷. 乳腺癌治疗中的铁死亡机制与铁基纳米材料应用进展[J/OL]. 中华乳腺病杂志(电子版), 2025, 19(06): 362-368.
[14] 罗仲燃, 曾智豪, 黄梦娟, 何晓艺. 乳腺癌术后腋窝淋巴结负荷的多因素分析及预测模型的建立及验证[J/OL]. 中华普外科手术学杂志(电子版), 2026, 20(01): 46-50.
[15] 孟庆杰, 印玉龙, 韩晓刚, 张浩萌, 江思源, 刘向华, 吕勇刚, 刘曌宇. 保留皮肤乳房切除+乳腺重建术治疗早期乳腺癌的近期随访研究[J/OL]. 中华普外科手术学杂志(电子版), 2025, 19(06): 646-649.
阅读次数
全文


摘要


AI


AI小编
你好!我是《中华医学电子期刊资源库》AI小编,有什么可以帮您的吗?