切换至 "中华医学电子期刊资源库"

中华乳腺病杂志(电子版) ›› 2025, Vol. 19 ›› Issue (05) : 314 -316. doi: 10.3877/cma.j.issn.1674-0807.2025.05.011

病例报告

乳腺转移性黑色素瘤伴全身多发转移一例
段炼, 王燕, 李靖若()   
  1. 450052 郑州大学第一附属医院乳腺外科
  • 收稿日期:2024-11-21 出版日期:2025-10-01
  • 通信作者: 李靖若

Breast metastatic melanoma with multiple metastases: one case report

Lian Duan, Yan Wang, Jingruo Li()   

  • Received:2024-11-21 Published:2025-10-01
  • Corresponding author: Jingruo Li
引用本文:

段炼, 王燕, 李靖若. 乳腺转移性黑色素瘤伴全身多发转移一例[J/OL]. 中华乳腺病杂志(电子版), 2025, 19(05): 314-316.

Lian Duan, Yan Wang, Jingruo Li. Breast metastatic melanoma with multiple metastases: one case report[J/OL]. Chinese Journal of Breast Disease(Electronic Edition), 2025, 19(05): 314-316.

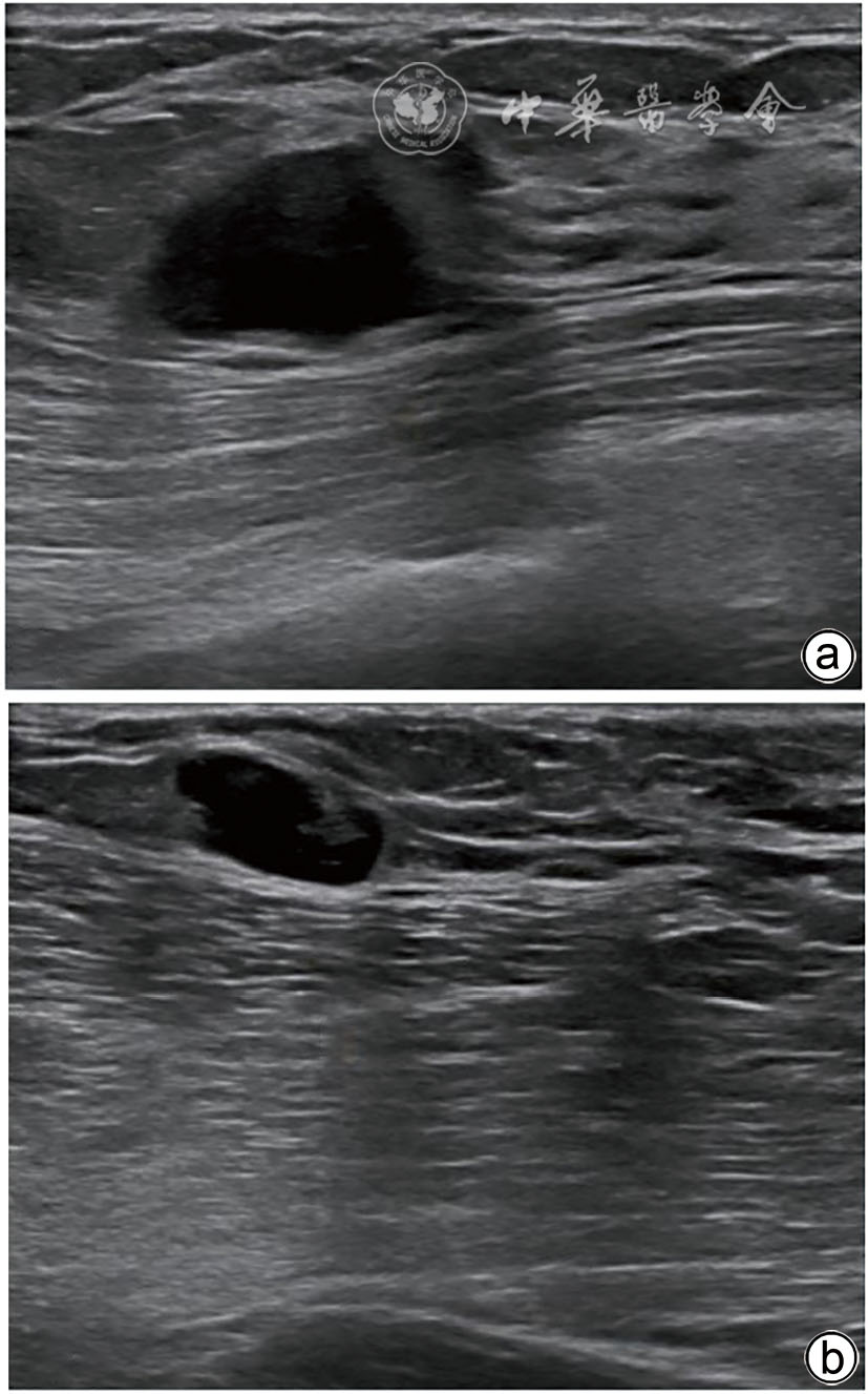
图1 乳腺转移性黑色素瘤患者乳腺超声图像 a图为右乳肿块 ;b图为右侧腋窝淋巴结
图2 乳腺转移性黑色素瘤患者右侧乳腺X线图像 a、b图分别为头尾位和内外侧斜位
图3 乳腺转移性黑色素瘤患者乳腺核磁共振图像
图4 乳腺转移性黑色素瘤患者右乳肿块术中冰冻病理图像(HE ×400) 注:肿瘤细胞排列密集、形态紊乱,细胞核不规则、染色质分布不均匀,具有一定的异质性
图5 乳腺转移性黑色素瘤患者右乳肿块免疫组织化学图(SP ×400) a、b、c、d图分别为人黑色素瘤相关抗原 45、黑色素 A、S-100和性别决定区 Y 框蛋白 10阳性
[1]
Carvajal RManiar R. Extracutaneous melanoma [J]. Hematol Oncol Clin North Am202135(1):85-98.
[2]
Tejera-Vaquerizo ANagore EMeléndez JJ,et al. Chronology of metastasis in cutaneous melanoma:growth rate model [J]. J Invest Dermatol2012132(4):1215-1221.
[3]
Brodhead MWoods RWFowler AM,et al. Multimodality imaging review of metastatic melanoma involving the breast [J]. Curr Probl Diagn Radiol202453(2):289-296.
[4]
Bray FLaversanne MSung H,et al. Global cancer statistics 2022:globocan estimates of incidence and mortality worldwide for 36 cancers in 185 countries [J]. CA Cancer J Clin202474(3):229-263.
[5]
Troxell ML. Merkel cell carcinoma,melanoma,metastatic mimics of breast cancer [J]. Semin Diagn Pathol201734(5):479-495.
[6]
王若岩,贾琳娇,孔舒欣,等. 原发性肺癌乳腺转移一例[J/OL]. 中华乳腺病杂志(电子版)202418(4):248-250.
[7]
张金堂,陈燕,袁华. 乳腺转移性恶性黑色素瘤超声及超声造影表现1例 [J]. 中国临床医学影像杂志202334(9):670-672.
[8]
Gosman LMȚăpoi DACostache M. Cutaneous melanoma:a review of multifactorial pathogenesis,immunohistochemistry,and emerging biomarkers for early detection and management [J]. Int J Mol Sci202324(21):15881.
[9]
Pop AMMonea MOlah P,et al. The importance of immunohistochemistry in the evaluation of tumor depth of primary cutaneous melanoma [J]. Diagnostics(Basel)202313(6):1020.
[10]
Yang FMa JZhu D,et al. The role of S100A6 in human diseases:molecular mechanisms and therapeutic potential [J]. Biomolecules202313(7):1139.
[11]
Zubovits JBuzney EYu L,et al. HMB-45,S-100,NK1/c3,and MART-1 in metastatic melanoma [J]. Hum Pathol200435(2):217-223.
[12]
Cheng LLopez-Beltran AMassari F,et al. Molecular testing for braf mutations to inform melanoma treatment decisions:a move toward precision medicine [J]. Mod Pathol201831(1):24-38.
[13]
Jalil ADonate MMMattei J. Exploring resistance to immune checkpoint inhibitors and targeted therapies in melanoma [J]. Cancer Drug Resist20247:42.
[14]
Leonardi GCFalzone LSalemi R,et al. Cutaneous melanoma:from pathogenesis to therapy(review) [J]. Int J Oncol201852(4):1071-1080.
[15]
Roskoski R Jr. Allosteric mek1/2 inhibitors including cobimetanib and trametinib in the treatment of cutaneous melanomas [J]. Pharmacol Res2017117:20-31.
[16]
Zaman AWu WBivona TG. Targeting oncogenic braf:past,present,and future [J]. Cancers(Basel)201911(8):1197.
[17]
Long GVStroyakovskiy DGogas H,et al. Dabrafenib and trametinib versus dabrafenib and placebo for val600 BRAF-mutant melanoma:a multicentre,double-blind,phase 3 randomised controlled trial [J]. Lancet2015386(9992):444-451.
[18]
Rotte A. Combination of CTLA-4 and PD-1 blockers for treatment of cancer [J]. J Exp Clin Cancer Res201938(1):255.
[1] 赵诗迪, 杨姣, 周妍, 范园, 杨谨. CDK4/6抑制剂在激素受体阳性晚期乳腺癌一线治疗中的挑战及进展后策略[J/OL]. 中华乳腺病杂志(电子版), 2025, 19(05): 257-266.
[2] 蒋树云, 马志军, 张旭, 陈棋帅, 耿智华贞. R-spondin 2在乳腺癌中的表达及其对SKBR-3细胞生长转移能力的影响[J/OL]. 中华乳腺病杂志(电子版), 2025, 19(05): 267-274.
[3] 陈庆秋, 钟玲, 张婷, 张孔涌, 桂余, 齐晓伟, 任林. IGF2BP2/CCNB2轴促进三阴性乳腺癌进展的机制研究[J/OL]. 中华乳腺病杂志(电子版), 2025, 19(05): 287-295.
[4] 邹莉, 夏羽, 陈杰. 乳腺浸润性小叶癌的治疗现状[J/OL]. 中华乳腺病杂志(电子版), 2025, 19(05): 296-301.
[5] 柴松山, 周晓宇, 高明阳, 韩世新. 乳腺癌皮肤转移误诊为头部疖肿一例[J/OL]. 中华乳腺病杂志(电子版), 2025, 19(05): 305-307.
[6] 汪秀静, 董梦婷, 盛佳钰, 江科. CDK4/6抑制剂致乳腺癌患者白癜风样皮损一例[J/OL]. 中华乳腺病杂志(电子版), 2025, 19(05): 311-313.
[7] 孙圣梅, 习一清, 安宁. 人表皮生长因子受体2阳性型乳腺癌新辅助治疗响应的基因预测模型[J/OL]. 中华普通外科学文献(电子版), 2025, 19(05): 332-339.
[8] 阮希伦, 单臻, 范远键, 林颖, 王深明, 龙健婷, 徐向东. 一项妊娠相关性乳腺癌病理学特征、治疗方案及预后信息的回顾性研究[J/OL]. 中华普通外科学文献(电子版), 2025, 19(05): 340-344.
[9] 孟庆杰, 印玉龙, 韩晓刚, 张浩萌, 江思源, 刘向华, 吕勇刚, 刘曌宇. 保留皮肤乳房切除+乳腺重建术治疗早期乳腺癌的近期随访研究[J/OL]. 中华普外科手术学杂志(电子版), 2025, 19(06): 646-649.
[10] 王达, 朱建敏. 血小板/淋巴细胞计数比值对乳腺癌新辅助化疗疗效的预测效能[J/OL]. 中华普外科手术学杂志(电子版), 2025, 19(06): 650-653.
[11] 马超, 王传嘉, 张武坊. 经腋窝入路单孔腔镜保乳术与传统开放手术治疗早期乳腺癌的对比研究[J/OL]. 中华普外科手术学杂志(电子版), 2025, 19(06): 674-677.
[12] 刘小娜, 史博慧, 马晓霞, 陈瑶, 郝娜. 乳腺癌不同手术方式对术后并发症及康复影响的对比观察[J/OL]. 中华普外科手术学杂志(电子版), 2025, 19(05): 551-554.
[13] 郭雯, 任谊, 魏庆忠. 改良VSD装置在乳腺癌改良根治术后腋窝引流中的临床应用价值[J/OL]. 中华普外科手术学杂志(电子版), 2025, 19(05): 555-558.
[14] 张蔚, 李运涛, 尚培中, 贾志芳, 张伟, 郭伟林. 腹腔镜根治术治疗转移性胆囊癌一例报道[J/OL]. 中华普外科手术学杂志(电子版), 2025, 19(05): 589-590.
[15] 方兴保, 庞国莲, 李月宏, 蔡艳. 基于多组学分析MCAM在肝癌中表达及其与生存预后和免疫细胞浸润的关系[J/OL]. 中华肝脏外科手术学电子杂志, 2025, 14(05): 716-724.
阅读次数
全文


摘要


AI


AI小编
你好!我是《中华医学电子期刊资源库》AI小编,有什么可以帮您的吗?