Home    中文  
 
  • Search
  • lucene Search
  • Citation
  • Fig/Tab
  • Adv Search
Just Accepted  |  Current Issue  |  Archive  |  Featured Articles  |  Most Read  |  Most Download  |  Most Cited

Chinese Journal of Breast Disease(Electronic Edition) ›› 2013, Vol. 07 ›› Issue (02): 142-145. doi: 10.3877/cma. j. issn.1674-0807.2013.02.018

• Case Report • Previous Articles     Next Articles

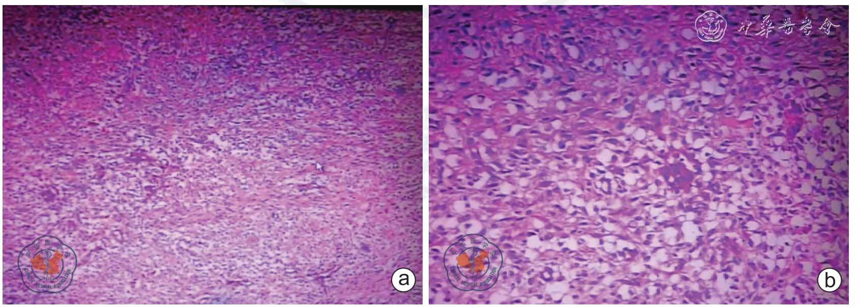
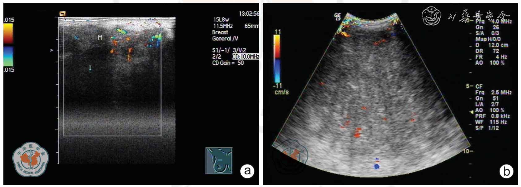
Giant phyllodes tumor in both breasts: one case report and literature review

Qi TANG1,(), Shao-qiang ZHOU   

  1. 1.Department of Breast Surgery, the Third Affiliated Hospital of Kunming Medical University, Kunming 650118,China
  • Received:2012-12-19 Online:2013-04-01 Published:2024-12-07
  • Contact: Qi TANG
京ICP 备07035254号-13
Copyright © Chinese Journal of Breast Disease(Electronic Edition), All Rights Reserved.
Tel: 0086-10-51322630 E-mail: jcbd@medmail.com.cn
Powered by Beijing Magtech Co. Ltd