切换至 "中华医学电子期刊资源库"
病例报告

乳腺肿块为首发表现的妊娠期急性髓系细胞白血病二例并文献复习

  • 潘耀柱 ,
  • 白海 , 1, ,
  • 王存邦 ,
  • 葸瑞 ,
  • 摆姣凤 ,
  • 史敏
展开
  • 1.730050 兰州军区总医院全军血液病中心
白海,Email:

Copy editor: 罗承丽

收稿日期: 2014-03-11

  网络出版日期: 2024-12-07

版权

版权归中华医学会所有。 未经授权,不得转载、摘编本刊文章,不得使用本刊的版式设计。 除非特别声明,本刊刊出的所有文章不代表中华医学会和本刊编委会的观点。

Breast lump as an initial manifestation in acute myeloid leukemia of pregnancy: two cases and literature review

  • Yaozhu Pan ,
  • Hai Bai , ,
  • Cunbang Wang ,
  • Rui Xi ,
  • Jiaofeng Bai ,
  • Min Shi
Expand

Received date: 2014-03-11

  Online published: 2024-12-07

Copyright

Copyright by Chinese Medical Association No content published by the journals of Chinese Medical Association may be reproduced or abridged without authorization. Please do not use or copy the layout and design of the journals without permission. All articles published represent the opinions of the authors, and do not reflect the official policy of the Chinese Medical Association or the Editorial Board, unless this is clearly specified.

本文引用格式

潘耀柱 , 白海 , 王存邦 , 葸瑞 , 摆姣凤 , 史敏 . 乳腺肿块为首发表现的妊娠期急性髓系细胞白血病二例并文献复习[J]. 中华乳腺病杂志(电子版), 2014 , 08(04) : 296 -298 . DOI: 10.3877/cma. j. issn.1674-0807.2014.04.018

乳腺白血病浸润(leukemic infiltration of breast)为大量白血病细胞浸润乳腺软组织引起的局部肿瘤,尚无统一名称,亦称为乳腺白血病(breast leukemia),而在急性髓系细胞白血病(acute myeloid leukemia, AML)乳腺浸润时亦称为乳腺粒细胞肉瘤(granulocytic sarcoma,GS)。 近年来,本科收治了2 例以乳腺肿块为首发表现的AML 患者,现报道如下。

1 病例资料

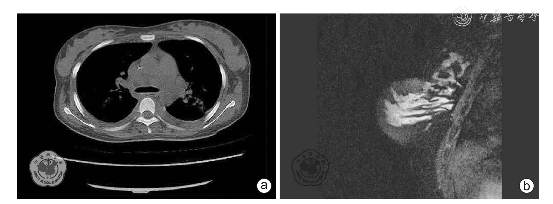
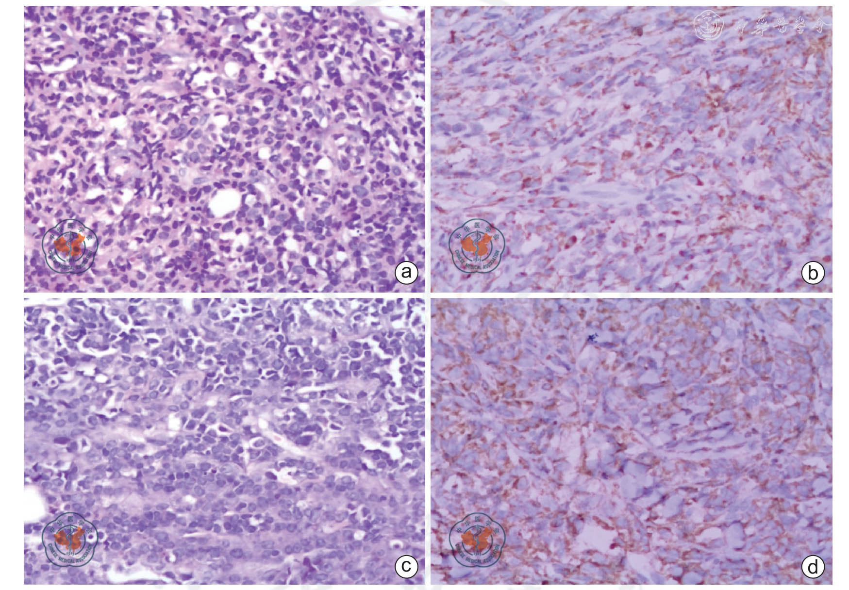
病例1,女,26 岁,已婚,因“乳腺包块3 个月,伴乏力2 周”于2012 年9 月23 日入院。 患者于2012 年6 月中旬(怀孕3 月)触及双侧乳腺数个包块,质地较硬,最大包块约鸡蛋大小,且入院前2 周出现乏力并加重,遂至本院就诊,门诊查血常规显示:WBC 17.34×109/L,Hb 91 g/L,PLT 57×109/L;外周血细胞形态:100 个细胞中见原始粒细胞62 个,早幼粒细胞14 个。 门诊以“急性白血病”收住本院。 入院查体:体温37.4 ℃,轻度贫血貌,浅表淋巴结未触及明显肿大,双侧乳房触及多个包块,最大包块为4 cm×5 cm,质硬,活动度差,无压痛;宫底位于脐上3 横指,胎心位于左下腹,162 次/分。 入院后骨髓细胞学检查显示:骨髓有核细胞增生明显活跃,粒、红细胞系增生抑制,单核细胞异常增生,原始及幼稚单核细胞占70%,此类细胞体积大,细胞质丰富,可见Auer 小体。 巨核细胞较易见,血小板少见。 骨髓白血病细胞免疫表型显示:CD15、CD34、CD117、CD33、CD64、人类白细胞抗原(HLA)-DR 均阳性,染色体核型46,XX[20/20]。 乳腺超声结果:腺体回声不均匀,见多个低回声包块布满双乳,界限清楚,形态规则,似有包膜,内部回声不均匀;左、右乳腺的最大包块分别为2.5 cm×1.8 cm、2.4 cm×1.9 cm。 胸部CT 显示(图1a):双侧乳房增大;腺体结构消失,见多发软组织团块状影,边界部分较清楚,部分弥漫生长边界不清;病灶呈等或略高密度。 乳腺包块粗针穿刺活组织病理检查(图2 a、b):粒细胞肉瘤,Lysozyme(++)、CD117(++)、髓过氧化物酶(myeloperoxidase,MPO)(++)、CD68(+)。 诊断:(1)急性髓系细胞白血病M5;(2)乳腺粒细胞肉瘤。 患者引产后给予多种方案化疗,其中有去甲氧柔红霉素+阿糖胞苷、脂质体多柔比星+阿糖胞苷等,并行乳腺局部放射治疗,均未缓解,确诊7 个月后终因白血病乳腺、肺、肝、脾多脏器浸润致全身衰竭死亡。
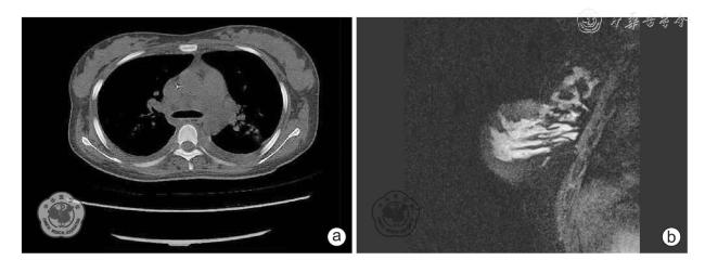
图1 乳腺粒细胞肉瘤影像学资料

a:病例1 的乳腺CT 图(双侧乳腺包块); b:病例2 的乳腺MRI 图(乳腺包块)

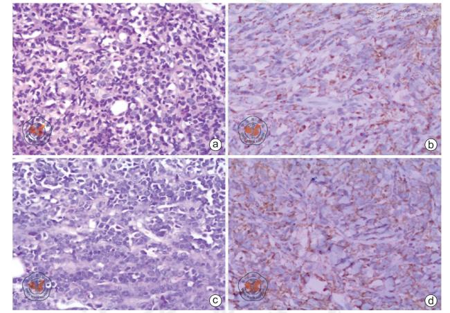
图2 乳腺粒细胞肉瘤病理检查结果(×200)

a:HE 染色(病例1);b:髓过氧化物酶染色(病例1);c:HE 染色(病例2);d:髓过氧化物酶染色(病例2)各图中均可见大量原始及幼稚单核细胞浸润乳腺

病例2,女,27 岁,已婚,因“乳腺包块2 个月,乏力、气短2 周”于2013 年12 月9 日入院。 患者于2 个月前(怀孕7 个月余)触及双侧乳腺多发包块,质地柔韧,活动,无压痛、发热及骨痛等,自以为妊娠所致,未在意,2 周前出现乏力、气短等,于2013 年11 月30 日到当地医院顺产一女婴,女婴正常,产后4 d 出院。 患者出院后乏力、气短渐加重,于同年12 月9 日到本院门诊就诊,血常规检查显示:WBC 21.96×109/L,Hb 95 g/L,PLT 34×109/L;骨髓细胞学检查显示:白细胞明显增多,以原始及幼稚细胞为主。遂以“白血病”收住院。 入院查体:中度贫血貌,右侧颌下及腋下多枚淋巴结肿大,直径为2 cm 左右,活动,无压痛;左侧乳房触及多个包块,最大包块为2.0 cm×1.5 cm,质硬,活动度差,无压痛,但胸骨中段有压痛。 入院后行骨髓穿刺,骨髓细胞学检查显示:有核细胞增生活跃,单核细胞明显增生,原始及幼稚单核细胞占74.8%,淋巴细胞增生抑制,巨核细胞及血小板少见;白血病免疫表型CD34、CD7、CD64、CD33、CD13、HLA-DR 均为阳性。 白血病多种基因筛查均为阴性,染色体核型46,XX[20/20]。 乳腺MRI 显示(图1b):(1)左侧乳腺外下象限肿块及小结节影,双侧腋窝多发肿大淋巴结;(2)双侧乳腺增生。 行超声引导下乳腺包块粗针穿刺活组织病理检查(图2c、d):粒细胞肉瘤,MPO(++),CD64(++)。 诊断:(1)急性髓系细胞白血病M5;(2)乳腺粒细胞肉瘤。 遂给予DA 标准化疗方案(柔红霉素60 mg,第1~3 天;阿糖胞苷0.2 g,第1~7 天)2 个疗程,未见明显缓解,目前仍在化疗中。

2 讨论

GS 发病率为3%~8% [1],常发生于肝、脾、淋巴结、骨骼、关节、皮肤、睾丸和中枢神经系统等,少见于肺、心、消化系统、泌尿系统等,而以乳腺浸润为首发症状者更为少见[2]。 GS 在AML-M4、M5 及高白细胞性白血病中更易发生[3]。 乳腺GS 可表现为一侧或双侧腺体出现单个或多个包块,发生于乳腺的GS 极易误诊或漏诊,乳腺放射影像及超声影像对于乳腺GS 均缺乏特征性表现,极难与其他乳腺疾病鉴别,唯一可靠的确诊方法为组织病理结合免疫组织化学检查,因此,活组织病理检查在诊断乳腺GS方面具有重要意义,其中免疫组织化学检查MPO 阳性具有极大诊断价值。 Chen 等[4]总结了30 例GS 患者的资料,发现MPO、lysozyme、CD34、CD45、CD43、CD68、Bcl-2 及c-kit (CD 117)阳性率分别为97%、97%、47%、84%、97%、93%、68%和87%。 此2 例患者MPO 均呈强阳性,符合GS 表型特征。 GS 可分为4 种类型[5]:(1)原发性GS;(2)GS 并发于AML;(3)GS 作为AML 复发灶出现,尤其在骨髓缓解后的复发;(4)GS 与AML 骨髓复发同时出现。 此2 例患者均属于GS 并发于AML 型。
乳腺GS 极为罕见。 Surov 等[6]对1980~2010 年乳腺GS 相关文献进行了综述,共计有139 例乳腺GS 患者。 其中61.2%为急性髓系白血病,25.2%为急性淋巴细胞白血病;而在骨髓浸润前出现单纯乳腺白血病患者有24 例,占17.3%,在白血病诊断同时有乳腺浸润的占18%,乳腺GS 作为复发灶出现,尤其在骨髓缓解后的复发占42.4%。 乳腺白血病在AML 和急性淋巴细胞白血病中的发病率差异并无统计学意义,综述中也未提及乳腺白血病与妊娠的相关性。 此2 例患者均为AML-M5,乳腺包块经病理学证实为GS,因此诊断明确。 两例患者均于妊娠期发病,因此考虑妊娠期更易发生乳腺白血病浸润,但尚缺乏大宗的病例观察。 妊娠期乳腺白血病浸润很难早期诊断,其症状往往被妊娠所掩盖,临床医师对该病认识不足,而且妊娠期间患者和医师也不愿行影像学检查或侵入性诊断。
髓外浸润的白血病患者预后远远差于无髓外浸润者。乳腺GS 目前尚无明确的治疗原则,手术在乳腺GS 中的治疗地位亦不确定[7-8]。 对于局限性乳腺GS 患者,手术切除及局部放射治疗均可做为治疗选择,但对于GS 并发AML 的患者,应该给予系统化疗并尽可能行异基因造血干细胞移植。 有专家认为用亲脂性的化疗药物可能效果好[9],但本文报道的病例1 多次使用脂质体多柔比星无效。 此2 例患者均属于难治性白血病,是否与妊娠相关,亦需更多的病例观察。
[1]
Di Veroli A, Micarelli A, Cefalo M, et al. Recurrence of a t(8;21)-positive acute myeloid leukemia in the form of a granulocytic sarcoma involving cranial bones: a diagnostic and therapeutic challenge[J]. Case Rep Hematol,2013,2013:245 395.

[2]
郭嘉嘉.急性白血病异基因骨髓移植后乳腺浸润三例[J/CD] .中华乳腺病杂志:电子版,2011,5(3):378-381.

[3]
Byrd JC, Edenfield WJ, Shields DJ, et al. Extramedullary myeloid cell tumors in acute nonlymphocytic leukemia: a clinical review[J]. J Clin Oncol,1995,13(7):1800-1816.

[4]
Chen J, Yanuck RR 3rd, Abbondanzo SL, et al. c-Kit( CD117 ) reactivity in extramedullary myeloid tumor/granulocytic sarcoma [ J]. Arch Pathol Lab Med, 2001,125(11):1448-1452.

[5]
Rizwan M, Islam MM, Rehman ZU. Granulocytic sarcoma of the male breast in acute myeloblastic leukemia with concurrent deletion of 5q and trisomy 8[J]. Case Rep Hematol, 2012,2012:194 312.

[6]
Surov A, Wienke A, Abbas J. Breast leukemia: an update[J]. Acta Radiol,2012,53(3):261-266.

[7]
Mandal S, Jain S, Khurana N. Breast lump as an initial manifestation in acute lymphoblastic leukemia: an unusual presentation. A case report[J]. Hematology,2007,12(1):45-47.

[8]
Fu J, Luo J. Granulocytic sarcoma of the breast in acute myeloid leukemia: two case reports[J]. Oncol Lett,2014,7(1):145-147.

[9]
王加菊,李芳,于泳,等.以乳腺肿物为首发或复发表现的成人急性淋巴细胞白血病诊治分析: 附病例报告[J].中国全科医学,2012,15(5):1622-1624.

文章导航

/


AI


AI小编
你好!我是《中华医学电子期刊资源库》AI小编,有什么可以帮您的吗?