切换至 "中华医学电子期刊资源库"
论著

超声BI-RADS 3 级乳腺不可扪及病变的微创活组织检查

  • 吴玲 1 ,
  • 王颀 , 1, ,
  • 连臻强 1 ,
  • 张安秦 1 ,
  • 李文萍 1 ,
  • 马小燕 2 ,
  • 郜红艺 3
展开
  • 1.510010 广州,广州医学院附属广东省妇儿医院乳腺病中心
  • 2.510010 广州,广州医学院附属广东省妇儿医院超声科
  • 3.510010 广州,广州医学院附属广东省妇儿医院病理科
王颀, E-mail:
WANG Qi, E-mail:

Copy editor: 刘军兰

收稿日期: 2012-01-18

  网络出版日期: 2024-12-07

基金资助

广东省医学科研基金资助项目(No.A2006095)

版权

版权归中华医学会所有。 未经授权,不得转载、摘编本刊文章,不得使用本刊的版式设计。 除非特别声明,本刊刊出的所有文章不代表中华医学会和本刊编委会的观点。

Ultrasound-guided vacuum-assisted biopsy for BI-RADS grade 3 nonpalpable breast lesions

  • Ling WU 1 ,
  • Qi WANG , 1, ,
  • Zhen-qiang LIAN 1 ,
  • An-qin ZHANG 1 ,
  • Wen-ping LI 1 ,
  • Xiaoyan MA 1 ,
  • Hong-yi GAO 1
Expand
  • 1.Breast Disease Center, Guangdong Women and Children Hospital of Guangzhou Medical College, Guangzhou 510010, China

Received date: 2012-01-18

  Online published: 2024-12-07

Copyright

Copyright by Chinese Medical Association No content published by the journals of Chinese Medical Association may be reproduced or abridged without authorization. Please do not use or copy the layout and design of the journals without permission. All articles published represent the opinions of the authors, and do not reflect the official policy of the Chinese Medical Association or the Editorial Board, unless this is clearly specified.

摘要

目的

探讨超声检查BI-RADS 3 级的乳腺不可扪及病变(nonpalpable breast lesion, NPBL)微创活组织检查(活检)的临床价值。

方法

回顾性分析2007 年1月至2010 年12 月在本院接受微创活检、超声BI-RADS 3 级的542 例NPBL 病例的临床、影像及病理资料,采用卡方检验比较即时活检组(首次超声诊断后3 个月之内活检)与随访活检组(随访6 个月后活检)发现恶性病变的概率以及两组恶性肿瘤情况的差异。

结果

全组542 例病例,病理确诊恶性病变5 例,总体恶性率为0.92%(5/542);50 ~59 岁患者的恶性率为9.68%(3/31),明显高于其他年龄组(20 ~29 岁组0,30 ~39 岁组0.40%,40 ~49 岁组0.57%,60 ~71 岁组0)。 即时活检组中恶性病变4例,恶性率为0.91%(4/435);随访活检组中恶性病变1 例,恶性率为0.93%(1/107),两者差异无统计学意义(P>0.05),且两组发现的恶性肿瘤的病灶大小,TNM 分期相似。

结论

超声检查BI-RADS 3 级的NPBL 恶性率低,随访活检是安全的。 但对于年龄50 岁及以上,超声评估为BI-RADS 3 级的患者需提高警惕,建议积极进行活检。

本文引用格式

吴玲 , 王颀 , 连臻强 , 张安秦 , 李文萍 , 马小燕 , 郜红艺 . 超声BI-RADS 3 级乳腺不可扪及病变的微创活组织检查[J]. 中华乳腺病杂志(电子版), 2012 , 06(02) : 147 -152 . DOI: 10.3877/cma. j. issn.1674-0807.2012.02.004

Abstract

Objective

To investigate the clinical significance of ultrasound-guided vacuum-assisted biopsy for BI-RADS grade 3 nonpalpable breast lesion (NPBL).

Methods

The clinical, imaging and histopathologic data of 542 cases of NPBL classified as grade 3 in BI-RADS and undergoing vacuum-assisted ultrasound-guided biopsy in our hospital from January 2007 to December 2010 were retrospectively analyzed. The patients were divided into group A (biopsy within 3 months after first ultrasonic diagnosis) and group B (biopsy after 6-month follow-up). The malignant rates and tumor stage were compared between the two groups.

Results

In all 542 patients, 5 were proved to be malignant (0.92%). The malignant rate in the age group of 50-59 years was 9.68%(3/31), which was significantly higher than that in other age groups (20-29 years, 0; 30-39 years, 0.40%;40-49 years,0.57%;60-71 years,0). Four patients presented malignant lesion (0.91%) in group A,1 patient (0.93%) in group B, and no significant difference was showed between the two groups(P>0.05). Malignant cases in two groups showed similar tumor size and TNM stage.

Conclusions

NPBL of BI-RADS grade 3 has low malignant rate and biopsy in follow-up is safe for those patients. However, more attention should be paid for the patients ≥50 years with BI-RADS grade 3 NPBL and clinical biopsy is recommended.

乳腺不可扪及病变(nonpalpable breast lesion, NPBL)是指临床查体时未触及明显肿块,通过影像学检查发现的乳腺病变,其恶性率可达15% ~30%[1]。 根据美国放射学会乳腺影像报告和数据系统(Breast Imaging Reporting and Data System, BI-RADS)分级标准[2],BI-RADS 3 级的乳腺病变,恶性率<2%,一般建议进行短期的随访观察;然而对于部分患者,特别是存在负面心理因素者,也可以考虑进行临床活组织检查(活检)。 本研究回顾性分析本院接受微创活检的542 例超声BI-RADS 3 级NPBL 病例的临床影像及病理资料,探讨对超声BI-RADS 3 级的NPBL 进行微创活检的临床价值。

1 资料与方法

1.1 一般资料

本研究收集2007 年1 月至2010 年12 月在广东省妇幼保健院乳腺中心接受微创活检的542 例超声BI-RADS 3 级NPBL 病例的超声检查及病理资料并进行回顾性分析。 所有病例均为女性,年龄20 ~71 岁,中位年龄38 岁。单侧乳腺病灶375 例,双侧乳腺病灶167 例;单发病灶305 例,多发病灶237 例,平均切除活检病灶1.7 个;超声检查显示病灶直径4 ~21 mm,平均直径6.8 mm。 全组病例包括即时活检组(首次超声诊断后3 个月之内活检)435 例,随访活检组(随访6 个月后因为病变评估改变或患者要求活检)107 例。

1.2 影像学检查诊断标准

超声检查诊断参考2003 年美国放射学会BI-RADS分级标准(第4 版)[2]。BI-RADS 3 级为可能良性病变,恶性危险性低(小于2%),建议短期密切随访。 复杂囊肿、簇状囊肿、新发现的没有任何恶性可疑征象的实性肿块(边界清楚,卵圆形、水平生长的实性肿块)等都归于该级。

1.3 仪器设备

超声检查使用飞利浦公司HDI 5000 或3000 及5 ~12 MHz 线阵式探头超声诊断仪,真空辅助活检系统为美国强生公司Mammotome-scm23K 型微创旋切系统或美国SenoRx 公司的EnCor 旋切系统,由旋切刀、真空抽吸泵、控制器及相关软件等组成。

1.4 微创活检方法

患者取仰卧位,常规超声检查探测乳腺病灶并体表标志。 局部皮肤常规消毒铺巾,在超声引导下用1%利多卡因局部浸润麻醉,取皮肤切口约3 mm。在超声实时监测下把微创旋切刀插到乳腺病灶深面并反复切割、抽吸直至超声探测下病灶完全切除。 术后局部压迫止血10 min,胸带加压包扎72 h。 所有标本送病理检查。

1.5 随访

通过患者门诊复查和电话调查进行随访。 随访活检组患者6 个月后门诊复查行乳腺超声,重新评估病灶BI-RADS 分级;所有患者行活检术后3 ~6 个月门诊复查行乳腺超声,之后每6 个月返院行乳腺超声检查。

1.6 统计学方法

采用卡方检验,以P<0.05 表示差异具有统计学意义。 年龄组再进行两两对比,重新定义检验水平,以P≤0.005 (a/C(2,5))表示差异具有统计学意义。 所有统计资料均采用SPSS 16.0 软件进行分析。

2 结果

2.1 超声BI-RADS 3 级的NPBL 病理活检结果

本研究病例共542 例,恶性病变5 例(超声检查见图1),其中浸润性导管癌4 例,导管内癌1 例(病理结果见图2),总体恶性率为0.92%(5/542);另外导管内乳头状瘤32 例,不典型增生7 例,纤维腺瘤390 例,硬化性腺病5 例,纤维囊性腺病103 例。 根据不同的年龄分层,20 ~29 岁组未见癌,30 ~39 岁组恶性率为0.40%(1/250),40 ~49 岁组恶性率为0.57%(1/176),50 ~59 岁组恶性率为9.68% (3/31),60 ~71 岁组未见癌,至少两组之间有异常(χ2 =13.228,P=0.004)(表1),分割进行两两卡方检验,只有50 ~59 岁组恶性率与30 ~39 岁组差异有统计学意义(χ2=16.917,P=0.005)。
表1 BI-RADS 3 级的NPBL 不同年龄组的病理结果
年龄 例数 IDC(例) DCIS(例) 其他病变 恶性率(%)
20~29岁 82 0 0 82 0.00
30~39岁 250 1 0 249 0.40
40~49岁 176 1 0 175 0.57
50~59岁 31 2 1 28 9.68a
60~71岁 3 0 0 3 0.00
合计 542 4 1 537 0.92
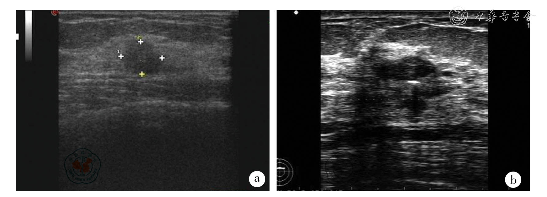
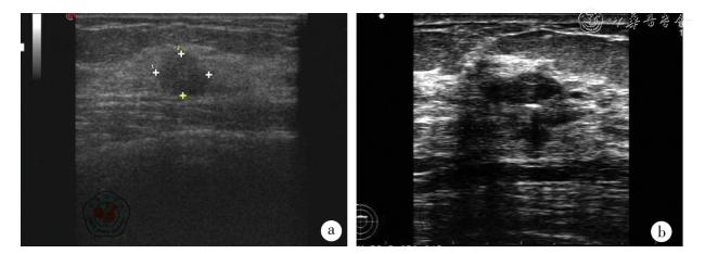
图1 2 例恶性病例术前超声图

a:50 岁患者,超声示10.6 mm (横径)×8.5 mm (纵径)低回声占位,BI-RADS 3 级,病理检查示浸润性导管癌;b:55 岁患者,超声示10.87 mm(横径)×4.82 mm(纵径)低回声占位,BI-RADS 3 级,病理结果示浸润性导管癌。

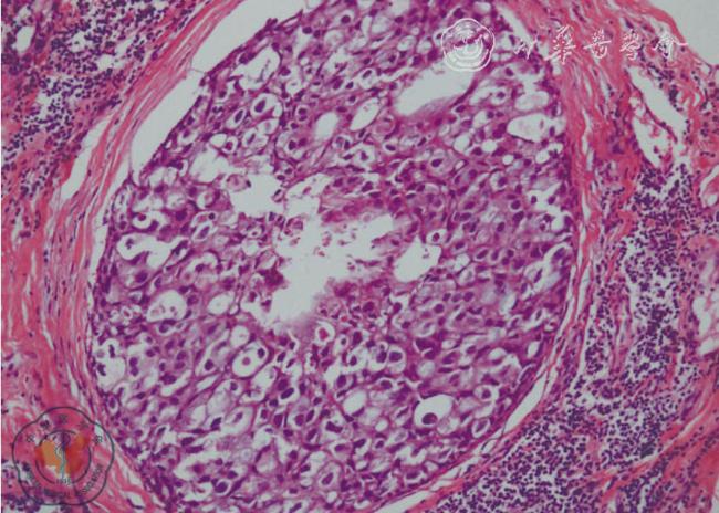
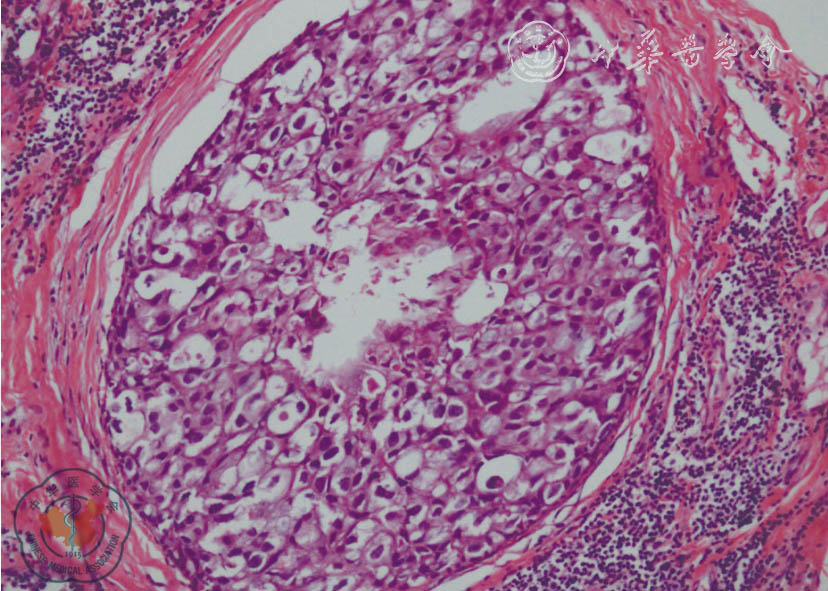
图2 1 例乳腺导管内癌病理图(HE 染色 ×100)

导管腔内可见异型增生上皮细胞,形态、大小相对一致,细胞核有明显异型,中央区见少许坏死,导管周围间质反应性增生伴淋巴细胞浸润。

2.2 即时活检组及随访活检组的临床结果

即时活检组共435 例,首次超声检查后1 ~90 d活检,平均时间26.7 d。随访活检组共107 例,首次超声检查后6.0 ~12.0 个月,平均时间10.4 个月。即时活检组中恶性病变4 例,恶性率为0.91%(4/435),随访活检组中恶性病变1 例,恶性率为0.93%(1/107),两者差异无统计学意义(χ2=0.000,P=0.669)。 即时活检组和随访活检组中恶性肿瘤患者的中位年龄、病灶的平均大小,肿瘤的TNM 分期相似(表2)。
表2 5 例恶性病例的临床资料
分组 恶性病例 平均年龄(岁) 直径(cm) 病理类型(例) TNM分期(例)
DCIS IDC 0期 Ⅰ期
即时活检组 4 47 1.0 0 4 0 4
随访活检组 1 59 0.5 1 0 1 0

2.3 病例活检术后的处理和随访

本组5 例确诊为乳腺癌的病例,活检术后均接受了乳腺癌保留乳房手术及术后的辅助治疗;全组病例活检术后6 个月复查超声见手术区低回声占位92 例,超声检查BI-RADS 2 级62 例,BI-RADS3 级30 例,均未作进一步活检,术后随访6 ~36 个月,中位随访时间为16 个月,均未见恶性肿瘤征象。

3 讨论

随着女性乳腺保健意识的提高以及乳腺癌早期诊断和筛查工作的开展,越来越多的NPBL 被发现。 对于临床上疑为恶性的NBPL 进行准确的病理活检,对提高乳腺癌的早期诊断率有重要意义。 目前,超声检查已成为乳腺癌早期诊断中一种重要的检查方法,特别对腺体致密的妇女,成为X 线检查重要的补充手段。 超声检查可以发现17%体检和乳腺X 线检查均阴性的乳腺癌[3]。 既往的超声诊断缺乏统一标准,往往是凭借超声医生的临床经验,难以为临床医生提供规范和明确的诊断依据。 美国放射学会制定的BI-RADS分级标准则有助于规范影像学诊断专业术语的应用和临床上对病灶的处理。 大量文献报道,超声结合BI-RADS 分级能够有效区分实体肿瘤的良、恶性[4-8]
根据BI-RADS 分级标准,BI-RADS 3 级的乳腺病变,恶性率<2%,一般建议进行短期的随访观察;然而对于部分患者,特别是十分焦虑的患者,也可以考虑进行临床活检。 关于BI-RADS 3 级的病例随访还是活检的安全性问题,已有很多研究报道进行了评估。 Baum 等[9]的一个多中心大样本试验结果显示,乳腺X 线检查BI-RADS 3 级的恶性率仅为0.81%(9/1114)。 Graf 等[10]报道了对于乳腺X 线检查阴性仅超声可见的BI-RADS 3 级NPBL 恶性率为0.2%,建议可临床随访。 Yucesoy 等[11]报道同样显示超声检查BI-RADS 3 级NPBL 的恶性率仅为0.9%,可予临床观察。 本研究中全组542 例超声检查BIRADS 3 级病变的恶性率为0.92%(5/542),结果与上述文献报道相似。
超声BI-RADS 3 级病变,按照标准仍有2%可能为恶性,有争议的问题是,随访后再活检,会不会延误治疗,影响患者生存和预后。 Moon 等[12]将4000 例超声显示BI-RADS 分级3 级病例按选择活检时间的不同分为3 组:早期活检组1148 例,发现乳腺癌19 例;随访6 ~12 月活检组1411 例,发现乳腺癌8 例;随访12 月活检组1441 例,发现乳腺癌5 例;3 组恶性病灶的平均大小、肿瘤的分期没有差别,因此其建议短期密切随访是安全的,不会延误病情。本研究中即时活检组发现恶性病变4 例,恶性率为0.91%(4/435),随访活检组发现恶性病变1 例,恶性率为0.93%(1/107),两者差异无统计学意义(P>0.05);即时活检组和随访活检组中恶性肿瘤病灶的平均大小,肿瘤的TNM 分期均相似,因而对于超声BI-RADS 3 级的NPBL 进行即时活检并无临床获益。另外,本组研究结果显示,所有超声BI-RADS 3 级的NPBL 病例中,50 ~59 岁年龄组的恶性率为9.68%,明显高于其他年龄组。 因此,对于50 岁以上BIRADS 3 级的NPBL 的临床诊断及活检是否应该更积极,值得进一步探讨。 由于本研究中病例的年龄分布不均匀,各组发现的恶性病例较少,因而相关结论仍需要进一步的扩大研究来证实。
总之,超声检查BI-RADS 3 级的NPBL 恶性机率低。 即时活检与随访6月后活检发现恶性病变的机率几乎没有差别,恶性肿瘤的病灶大小,TNM 分期均相似。 因此,超声检查BI-RADS 3 级的NPBL 密切随访是安全的,可以避免立即活检。 但对于年龄50 岁及以上患者,超声评估BI-RADS 3 级需提高警惕,临床活检可相对积极。
[1]
Mariotti C, Feliciotti F, Baldarelli M, et al. Digital stereotactic biopsies for nonpalpable breast lesion [J]. Surg Endosc,2003,17(6):911-917.

[2]
American College of Radiology. BI-RADS-US, American College of Radiology (ACR) Breast Imaging Reporting and Data System Atlas (BI-RADS Atlas). Reston,2003:77-79.

[3]
Meloni GB,Dessole S,Becchere MP,et al. Ultrasound-guided mammotome vacuum biopsy for the diagnosis of impalpable breast lesions [J].Ultrasound Obstet Gynecol,2001,18(5):520-524.

[4]
Hong AS, Rosen EL, Soo MS, et al. BI-RADS for sonography: positive and negative predictive values of sonographic features [J]. AJR Am J Roentgenol,2005,184(4):1260-1265.

[5]
Heinig J,Witteler R,Schmitz R,et al. Accuracy of classification of breast ultrasound findings based on criteria used for BIRADS [J]. Ultrasound Obstet Gynecol,2008,32(4):573-578.

[6]
Raza S, Chikarmane SA, Neilsen SS, et al. BI-RADS 3, 4, and 5 lesions: value of US in management follow-up and outcome [J]. Radiology,2008,248(3):773-781.

[7]
Costantini M, Belli P, Ierardi C, et al. Solid breast mass characterization: use of the sonographic BI-RADS classification [J]. Radiol Med,2007,112(6):877-894.

[8]
万舰,王永南,王颀,等.乳腺影像报告与数据系统在超声检查可扪及乳腺肿块中的诊断价值[J/CD].中华乳腺病杂志:电子版,2010,4(4):381-388.

[9]
Baum JK, Hanna LG, Acharyya S, et al. Use of BI-RADS 3-probably benign category in the American College of Radiology Imaging Network Digital Mammographic Imaging Screening Trial [J]. Radiology,2011,260(1):61-67.

[10]
Graf O, Helbich TH, Hopf G, et al. Probably benign breast masses at US: is follow-up an acceptable alternative to biopsy? [J]. Radiology,2007,244(1):87-93.

[11]
Yucesoy C, Oktay NA, Ozturk E, et al. Pathologic assessment of non-palpable probably benign breast masses at sonography: can instant intervention be avoided and is follow-up adequate? [J]. JBR-BTR,2010,93(5):242-246.

[12]
Moon HJ, Kim MJ,Kwak JY,et al. Malignant lesions initially categorized as probably benign breast lesions:retrospective review of ultrasonographic,clinical and pathologic characteristics [J]. Ultrasound Med Biol,2010,36(4):551-559.

文章导航

/


AI


AI小编
你好!我是《中华医学电子期刊资源库》AI小编,有什么可以帮您的吗?