切换至 "中华医学电子期刊资源库"
论著

E6-AP 基因在乳腺癌MDA-MB-231 细胞中调节膜联蛋白A2 的表达

  • 侯令密 1, 2 ,
  • 谢少利 1 ,
  • 陈茂山 3 ,
  • 李敬东 2 ,
  • Emmanuel Ajedichiga Aduah 2 ,
  • 王明浩 4 ,
  • 邓世山 5 ,
  • 幸天勇 1 ,
  • 赵小波 , 1,
展开
  • 1.637000 四川南充,川北医学院附属医院甲状腺乳腺外科
  • 2.637000 四川南充,川北医学院附属医院肝胆胰肠研究所
  • 3.629000 遂宁市中心医院乳腺甲状腺外科
  • 4.400038 重庆,第三军医大学附属西南医院乳腺外科
  • 5.637000 四川南充,川北医学院附属医院解剖学教研室
赵小波,Email:
<i> Zhao Xiaobo, Email:</i>

Copy editor: 刘军兰

收稿日期: 2015-11-10

  网络出版日期: 2024-12-04

基金资助

国家自然科学基金资助项目(81172496)四川省教育厅重点项目(13ZA0228)四川省科技厅科技创新苗子工程项目(2016060)

版权

版权归中华医学会所有。 未经授权,不得转载、摘编本刊文章,不得使用本刊的版式设计。 除非特别声明,本刊刊出的所有文章不代表中华医学会和本刊编委会的观点。

E6-AP gene regulates Annexin A2 expression in breast cancer MDA-MB-231 cells

  • Lingmi Hou 1, 2 ,
  • Shaoli Xie 1 ,
  • Maoshan Chen 3 ,
  • Jingdong Li 2 ,
  • Ajedichiga Aduah Emmanuel 2 ,
  • Minghao Wang 4 ,
  • Shishan Deng 4 ,
  • Tianyong Xing 1 ,
  • Xiaobo Zhao , 1,
Expand
  • 1.Department of Thyroid and Breast Surgery
  • 2.Institute of Hepatobiliarypancreatic-intestinal Diseases, 5Department of Anatomy, Affiliated Hospital of North Sichuan Medical College, Nanchong 637000, Sichuan Province, China
  • 3.Department of Breast and Thyroid Surgery,Suining Central Hospital, Suining 629000, Sichuan Province, China
  • 4.Breast Disease Center, Southwest Hospital,Third Military Medical University, Chongqing 400016,China

Received date: 2015-11-10

  Online published: 2024-12-04

Copyright

Copyright by Chinese Medical Association No content published by the journals of Chinese Medical Association may be reproduced or abridged without authorization. Please do not use or copy the layout and design of the journals without permission. All articles published represent the opinions of the authors, and do not reflect the official policy of the Chinese Medical Association or the Editorial Board, unless this is clearly specified.

摘要

目的

检测E6-AP 基因及膜联蛋白A2(Annexin A2)在乳腺癌MDA-MB-231 细胞中的表达,探讨其对癌细胞增殖、凋亡及浸润转移的影响。

方法

设计1 条无关序列Negative-siRNA 作为阴性对照组和针对E6-AP 基因的3 条特异性E6-AP-siRNAs 片段转染至MDA-MB-231 细胞内作为实验组,未经处理细胞作为空白对照组,加入脂质体处理的细胞为脂质体组,利用RT-PCR 检测干扰E6-AP 后在MDA-MB-231 细胞中E6-AP 和Annexin A2 mRNA 相对表达水平。 选择出转染效率最高的E6-APsiRNA1 组及阴性对照组、空白对照组继续行后续实验。 Western blot 检测干扰E6-AP 后E6-AP 和Annexin A2 在MDA-MB-231 细胞中的蛋白的相对表达水平。 利用CCK-8 试剂盒法、流式细胞术、Transwell 小室侵袭实验分别检测干扰E6-AP 后MDA-MB-231 细胞的增殖、凋亡、侵袭能力。 基因的mRNA 及蛋白表达水平、细胞凋亡率及细胞数的组间比较采用方差分析, 两两比较采用LSD 法,吸光度比较采用重复测量的方差分析。

结果

转染72 h 后,E6-AP 基因干扰后各实验组(E6-AP-siRNA1 组、E6-AP-siRNA2 组、E6-AP-siRNA3 组)及空白对照组、阴性对照组及脂质体组中的E6-AP mRNA 相对表达水平分别为0.159±0.003、0.325±0.006、0.229±0.007、0.593 ±0.031、0.594±0.012、0.612±0.016,Annexin A2 mRNA 相对表达水平分别为0.929±0.017、1.013±0.082、0.992±0.024、1.341±0.037、1.323±0.010、1.326±0.012,差异均有统计学意义(F=850.792、417.447,P 均<0.050)。 转染72 h 后,E6-APsiRNA1 组、空白对照组和阴性对照组中E6-AP 及Annexin A2 蛋白相对表达水平为分别为0.271±0.017、0.492±0.018、0.477±0.016 及0.447±0.034、0.887±0.022、0.849±0.033,组间差异均有统计学意义(F=256.850、350.149,P 均<0.050)。 转染24、48、72、96 h 后,E6-AP-siRNA1 组、阴性对照组和空白对照组间比较,不同时间点之间比较,细胞吸光度差异均有统计学意义(F=524.828, P<0.001;F=904.079,P<0.001);分组与时间点存在交互作用(F=28.116, P<0.001)。 转染72 h 后,空白对照组、阴性对照组、E6-AP-siRNA1 组的凋亡率分别为2.959±0.117、3.097±0.070、10.812±0.199,组间差异有统计学意义(F=3110.005,P<0.050)。 Transwell 检测E6-AP-siRNA1 组、空白对照组、阴性对照组中细胞穿透Matrigel 胶到达Transwell 下室的细胞数分别为99±5、96±6、62±7,组间差异有统计学意义(F=55.404,P<0.001)。

结论

干扰E6-AP 基因可使Annexin A2 表达下调,同时可诱导MDA-MB-231 细胞的凋亡,其增殖、侵袭能力也受到抑制。

本文引用格式

侯令密 , 谢少利 , 陈茂山 , 李敬东 , Emmanuel Ajedichiga Aduah , 王明浩 , 邓世山 , 幸天勇 , 赵小波 . E6-AP 基因在乳腺癌MDA-MB-231 细胞中调节膜联蛋白A2 的表达[J]. 中华乳腺病杂志(电子版), 2016 , 10(06) : 326 -332 . DOI: 10.3877/cma.j.issn.1674-0807.2016.06.002

Abstract

Objective

To study the expressions of E6-AP gene and Annexin A2 in breast cancer MDA-MB-231 cells, and explore their effects on the proliferation, apoptosis and invasion and metastasis of cancer cells.

Methods

Negative-siRNA was transfected into MDA-MB-231 cells as negative control,3 designed E6-AP-siRNA sequences were transfected into MDA-MB-231 cells as experimental groups, the untreated cells served as blank control and the cells with liposome treatment served as liposome group. The mRNA expressions of E6-AP and Annexin A2 in MDA-MB-231 cells were detected by RT-PCR after E6-AP interference. The E6-AP-siRNA1 group with the highest transfection efficiency, along with negative control group and blank control group, was selected for the following experiments. The protein expressions of E6-AP and Annexin A2 in MDA-MB-231 cells after E6-AP interference were detected by Western blot. The proliferation, apoptosis and invasion of MDA-MB-231 cells were detected by CCK-8 kit, flow cytometry and Transwell assay respectively after E6-AP interference. Comparison between groups was performed using analysis of variance, pairwise comparison using LSD method. The optical density was compared by repeated measurement analysis of variance.

Results

At 72 h after transfection, E6-AP mRNA expressions in E6-APsiRNA1 group, E6-AP-siRNA2 group, E6-AP-siRNA3 group, blank control group, negative control group and liposome group were 0.159±0.003, 0.325±0.006, 0.229±0.007, 0.593±0.031, 0.594±0.012, 0.612±0.016 respectively, Annexin A2 mRNA expressions were 0.929±0.017, 1.013±0.082, 0.992±0.024,1.341±0.037,1.323±0.010, 1.326±0.012 respectively, indicating statistically significant differences (F=850.792,417.447, both P<0.050). E6-AP and Annexin A2 protein expressions in E6-AP-siRNA1 group,blank control group and negative control group were 0.271±0.017,0.492±0.018,0.477±0.016 and 0.447±0.034,0.887±0.022, 0.849 ± 0.033, respectively, indicating statistically significant differences (F =256.850,350.149, both P <0.050). There was a significant difference in optical density among E6-APsiRNA1 group, negative control group and blank control group at 24,48,72,96 h after the transfection (F=524.828, P<0.001), and there was also a significant difference in optical density among the different time points (F= 904.079, P<0.001). There was an interaction between the grouping and the time points (F=28.116, P<0.001). The apoptosis rates in blank control group, negative control group and E6-AP-siRNA1 group were 2.959±0.117, 3.097±0.070 and 10.812±0.199 respectively, and the difference was significant among groups (F=3110.005, P<0.050). The number of cells which went through Matrigel gel into lower Transwell chamber in E6-AP-siRNA1 group, blank control group and negative control group was 99±5,96±6,62±7,respectively,suggesting a significant difference among groups (F= 55.404,P<0.001).

Conclusion

Interference with E6-AP gene may down-regulate the expression of Annexin A2, induce the apoptosis of MDAMB-231 cells, inhibit the proliferation and invasion ability of MDA-MB-231 cells.

三阴性乳腺癌是浸润性乳腺癌的一种特殊亚群,因其特殊的生物学特性,进展快、预后差成为其典型特点。 因为缺乏内分泌治疗和靶向治疗的特异位点,目前对三阴性乳腺癌的治疗陷入瓶颈,临床上尚无有效的综合治疗手段。 本实验通过对E6-AP基因及膜联蛋白A2 (Annexin A2) 特异性调控的关系的深入研究,旨在进一步解释三阴性乳腺癌发生、发展的机制,并为临床治疗和研究提供新靶点和新方向。

材料与方法

一、实验样本

人乳腺癌细胞株MDA-MB-231 购置于中国科学院上海生命科学研究院。 分组方法:实验组,转染了E6-AP 基因siRNA 片段的细胞, 包括E6-APsiRNA1 组、 E6-AP-siRNA2 组、E6-AP-siRNA3 组;空白对照组,未加入任何处理的细胞;阴性对照组,加入对细胞无影响的序列的细胞;脂质体组,加入脂质体但未加入任何干扰片段的细胞。 选择转染效率最高的E6-AP-siRNAs1 组行后续蛋白测定等实验,因加入脂质体不影响目的蛋白的表达,脂质体组也不再纳入后续实验,故后续实验共有以下三组:实验组(E6-AP-siRNAs1)、阴性对照组、空白对照组。

二、实验试剂

Negative-siRNA、E6-AP-siRNAs 片段、PCR 扩增上下游引物、Taq 聚合酶、RT-PCR 试剂盒均购置于大连TaKaRa 公司,兔抗人E6-AP 单克隆抗体、兔抗人Annexin A2 多克隆抗体、兔抗人β-actin 多克隆抗体均购置于英国Abcam 公司。 MTT、CCK-8(cell counting kit-8)、Trizol 试剂盒均购置于南京凯基生物技术有限公司。

三、实验仪器

蛋白转移电泳槽、PowerPack PC 电转仪、蛋白垂直电泳槽、DYY-100C 型稳流稳压电泳仪及酶标仪均购置于美国Bio-rad 公司,荧光定量PCR 仪购置于美国应用生物系统公司,PCR 仪购置于美国Thermo 公司。

四、实验方法

1.细胞培养
将人三阴性乳腺癌MBA-MD-231 细胞以含10%DMSO、10%~20%小牛血清的培养液置于37 ℃、5%CO2 培养箱培养,次日更换1 次培养液,倒置显微镜观察生长情况,取生长良好的对数期细胞用于实验。转染72 h 后,在普通光学显微镜下观察乳腺癌MDA-MB-231 细胞,再转到荧光显微镜下观察同一视野,带有荧光的细胞为转染成功的细胞,选取10 个高倍镜视野,得出转染率的平均值。
2.E6-AP 基因siRNA 片段的设计及合成
设计3 个针对E6-AP 的RNA 干扰靶点序列,同时还使用一些RNA 干扰实验中公认对细胞无影响的序列作为阴性对照序列由大连宝生物公司合成,并在5&apos;端标记FITC。
3.细胞转染
各siRNA 片段5 μg 加入100 μl 无血清培养基,5 μl Lipo2000 试剂加入100 μl 无血清培养基,混匀两组试剂,避光孵育20 min 后转移至MDA-MB-231细胞的培养液中,加入PBS 洗涤,加入2 ml 含10%血清的新鲜1640 细胞培养基继续培养。
4.RT-PCR 检测E6-AP 及Annexin A2 mRNA 表达
Trizol 试剂盒提取总RNA,配制逆转录反应体系,琼脂糖凝胶电泳。
5.E6-AP 及Annexin A2 蛋白表达水平检测
BCA 蛋白提取,定量试剂盒提取细胞总蛋白并定量,按十二烷基硫酸钠聚丙烯酰胺凝胶电泳(sodium dodecyl sulfate polyacrylamide gel electropheresis,SDS-PAGE)试剂盒配10%分离胶和5%的浓缩胶,取20 μg 蛋白样品,加入电泳液行电泳,80 V 开始至样品进入分离胶改为120 V;200 mA 恒流槽式湿转入PVDF 膜,洗膜,封闭,加入一抗4 ℃过夜,洗膜后孵育二抗1 h,BeyoECL Plus 试剂盒显色,荧光成像仪检测。
6.CCK8 试剂盒检测细胞增殖能力
96 孔板中培养细胞,在转染24、48、72 h 时分别加入CCK8 试剂10 μl,37 ℃、5%CO2 培养箱中孵育1 h,酶标仪检测吸光度值。
7.流式细胞仪检测细胞凋亡
细胞培养及转染72 h 后,0.25%胰酶消化,加入500 μl 连接缓冲液及5 μl Annexin V-FITC 和5 μl PI 充分混匀,孵育15 min 进行检测。
8.Transwell 小室检测细胞侵袭能力
取细胞悬液200 μl 加入Transwell 小室,24 孔板下室加入500 μl 含FBS 的培养基,常规培养24 h,1%的结晶紫染色微孔膜下室的细胞10 min,倒置显微镜观察。 通过Transwell 检测各组下室里面的MDA-MB-231 细胞数量,以反映肿瘤细胞的体外侵袭能力的大小。

五、统计学分析

采用SPSS 19.0 统计学软件分析数据,基因的mRNA 及蛋白表达数据、细胞凋亡率及细胞数以±s表示,各组间差异比较采用方差分析, 两两比较采用LSD 法,细胞吸光度值比较采用重复测量的方差分析。 P<0.050 为差异具有统计学意义。

结 果

一、 细胞转染率

实验组和阴性对照组的转染效率均在90%以上。 图1 显示E6-AP-siRNAs1 组转染后观察到的乳腺癌MDA-MB-231 细胞。
图1 转染后同一视野下观察E6-AP-siRNA1 组乳腺癌MDA-MB-231 细胞(×50)

注:a 图为普通光学显微镜观察; b 图为荧光显微镜观察

二、E6-AP 基因及Annexin A2 基因mRNA 水平测定结果

转染72 h 后,E6-AP 基因干扰后各实验组(E6-AP-siRNA1 组、 E6-AP-siRNA2 组、 E6-AP-siRNA3组)及空白对照组、阴性对照组及脂质体组中的E6-AP mRNA 相对表达水平分别为0. 159±0. 003、0.325±0.006、0.229±0.007、0.593 ±0.031、0.594±0.012、0.612±0.016, 差异有统计学意义(F=850.792,P<0.050)。 各实验组与空白对照组、阴性对照组、及脂质体组比较差异均有统计学意义(P<0.001),阴性对照组与空白对照组(t=0.283, P=0.975)、脂质体组与空白对照组(t=1.892, P=0.078)及脂质体组与阴性对照组(t=1.813, P=0.083)比较,差异均无统计学意义。
E6-AP 基因干扰后Annexin A2 基因各实验组及空白对照组、阴性对照组及脂质组的Annexin A2 mRNA 相对表达水平分别为0.929±0.017、1.013±0.082、0.992±0.024、1.341±0.037、1.323±0.010、1.326±0.012,差异有统计学意义(F=417.447,P<0.050)。 LSD 法两两比较,各实验组与空白对照组、阴性对照组、脂质体组比较,差异均有统计学意义(P<0.001);阴性对照与空白对照组(t=1.619, P=0.171), 脂质体组与空白对照组(t=1.031, P=0.256)及脂质体组与阴性对照组(t=0.401, P=0.807)比较,差异均无统计学意义。
E6-AP 及Annexin A2 的mRNA 表达结果见图2
图2 RT-PCR 检测E6-AP 及Annexin A2 的mRNA 表达水平

注:1 为E6-AP-siRNA1 组;2 为E6-AP-siRNA2 组;3 为E6-AP-siRNA3组;4 为阴性对照组;5 为脂质体组;6 为空白对照组

三、E6-AP 及Annexin A2 蛋白水平测定结果

转染72 h 后,E6-AP-siRNA1 组、空白对照组和阴性对照组E6-AP 蛋白相对表达水平分别为0.271±0.017、0.492±0.018、0.477±0.016,组间差异有统计学意义(F=256.850,P<0.050)。 与空白对照组(t=11.402, P<0.001)、阴性对照组(t=9.799, P<0.001)比较,E6-AP-siRNA1 组E6-AP 蛋白表达下降,差异有统计学意义;阴性对照组与空白对照组比较,差异无统计学意义(t=1.294, P=0.191)。
E6-AP 基因干扰后E6-AP-siRNA1 组、空白对照组、阴性对照组的Annexin A2 蛋白相对表达水平分别为0.447±0.034、0.887±0.022、0.849±0.033,组间差异有统计学意义(F=350.149,P<0.050)。 与空白对照组、阴性对照组比较,E6-AP-siRNA1 组E6-AP 蛋白表达下降(t=8.395、9.034,P 均<0.001);阴性对照与空白对照组比较,差异无统计学意义(t=1.896, P=0.075)。
E6-AP 及Annexin A2 的蛋白表达结果见图3
图3 Western blot 检测E6-AP 及Annexin A2 的蛋白表达

注:1 为空白对照组;2 为阴性对照组;3 为E6-AP-siRNA1 组;Mr 代表相对分子质量

四、细胞增殖能力检测结果

通过CCK-8 试剂盒检测细胞增殖能力,转染24、48、72、96 h 后E6-AP-siRNA1 组、阴性对照组和空白对照组细胞吸光度值差异有统计学意义,3 组细胞不同时间点细胞吸光度值差异有统计学意义,分组与时间点存在交互作用,具体统计数据见表1
吸光度值的比较(±s)
组别 转染时间
24h 48h 72h 96h
空白对照组 0.448±0.027 0.494±0.013 0.607±0.024 0.717±0.020
阴性对照组 0.476±0.044 0.496±0.020 0.602±0.009 0.704±0.020
E6-AP-siRNA1组 0.390±0.028 0.434±0.026 0.480±0.029 0.544±0.016

五、细胞凋亡检测结果

通过流式细胞术检测细胞凋亡的结果见图4。转染72 h 后,空白对照组、阴性对照组、E6-APsiRNA1 组的凋亡率分别为2. 959±0.117, 3.097±0.070,10.812±0.199,组间差异有统计学意义(F=3110.005,P <0.050)。 E6-AP-siRNA1 组与空白对照组(t = 12.433, P <0.001)、阴性对照组(t =10.793, P<0.001)比较差异均有统计学意义,阴性对照组与空白对照组比较,差异无统计学意义(t=1.006, P=0.258)。
图4 流式细胞仪检测MDA-MB-231 细胞凋亡

注:a 图为E6-AP-siRNA1 组,b 图为阴性对照组,c 图为空白对照组;PI 为碘化丙啶,Annexin V-FITC 为膜联蛋白5-异硫氰酸荧光素

六、细胞侵袭能力检测结果

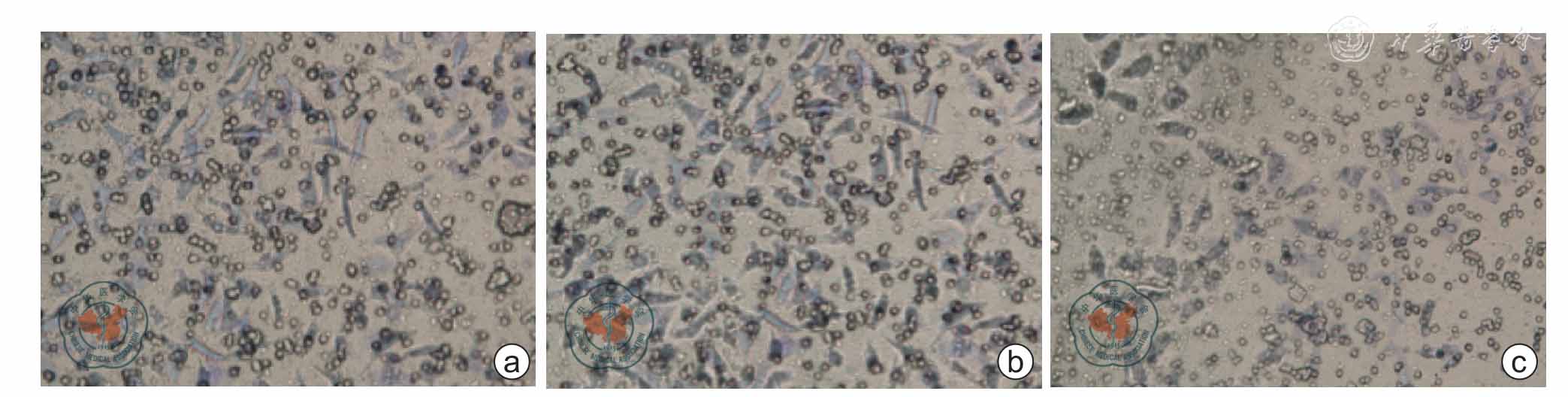
Transwell 检测各组下室的乳腺癌MDA-MB-231细胞数量,结果见图5。 E6-AP-siRNA1 组、空白对照组、阴性对照组细胞穿透Matrigel 胶到达Transwell下室的细胞数分别为99±5、96±6、62±7,组间差异有统计学意义(F = 55.404,P <0.001)。 E6-APsiRNA1 组与空白对照组(t=9.406, P<0.001)、阴性对照组(t=9.887, P<0.001)比较差异均有统计学意义,阴性对照组与空白对照组比较,差异无统计学意义(t=0.725, P=0.404)。
图5 Transwell 检测乳腺癌MDA-MB-231 细胞的侵袭能力(×100)

注:a、b、c 图分别为空白对照组、阴性对照组、E6-AP-siRNA1 组

讨 论

泛素-蛋白酶体降解途径(ubiquitin-proteasome pathway, UPP)是目前已知的真核生物体内蛋白质降解的最主要途径。 它是机体调节体内蛋白水平与功能的一个重要机制,是最主要的蛋白质选择性降解途径[1]。 对UPP 与疾病的关系的研究备受关注,特别是与肿瘤发生发展的关系,成为近年来研究的热点。 癌基因或抑癌基因的异常代谢,导致体内表达失衡,尤其是UPP 系统的酶或特异性结构发生失调时,其对目标蛋白的调节控制能力就会发生不同程度的改变,部分常规通过UPP 降解的促癌基因蛋白,就不能及时准确地从细胞中清除,或抑癌蛋白大量降解、细胞凋亡受阻以及增殖加速,这一系列的变化可能引起癌蛋白异常聚集,诱导细胞恶变[2]。UPP 成为研究机体恶性肿瘤异常调节机制的重要靶点之一[3]。 负责执行UPP 这个调控过程的组成成分包括泛素及其启动酶系统和蛋白酶体系统[4]。E6-AP 基因是高危型人类乳头状瘤病毒(human papilloma virus,HPV)致癌的主要基因,E6-AP 能与E6 蛋白结合形成E6-E6AP 复合体,发挥E6 的诸多功能,P53 蛋白与E6 结合后通过UPP 降解生成野生型P53 蛋白,对肿瘤的增殖有促进作用[5]。 在本研究中,实验组细胞通过RNA 干扰降低E6-AP 的表达,48、72、96 h 实验组细胞增殖能力与空白对照及阴性对照组相比明显降低,也进一步验证了E6-AP的促癌作用,但是其具体的调控机制尚不明确。Annexin A2 为膜联蛋白家族中的重要成员,观察其泛素化及在E6-AP 干扰后的表达情况与三阴性乳腺癌细胞的增殖情况,也发现了同样的结果[6-8]。 研究表明,E6-AP 和P53 高表达于H2O2 诱导发生凋亡的H9c2 心肌细胞株,说明E6-AP 与细胞凋亡之间存在密切的关系[9]。 本研究中, 笔者通过流式细胞仪检测E6-AP 基因干扰后三阴性乳腺癌细胞,发现实验组细胞的凋亡明显增加,提示E6-AP 对三阴性乳腺癌细胞有促进作用。
Annexin A2 是膜联蛋白家族中的重要成员,具有与磷脂膜可逆结合及与钙离子结合的能力,在细胞质和细胞核中参与非常广泛的生物学活动,比如信号传递、细胞运动和增殖、细胞凋亡以及DNA 合成等过程[10]。 有学者发现在鼠Krebs II 细胞以及猪黏膜细胞的细胞骨架上,富集着大量Annexin A2 泛素聚合物,其对肿瘤侵袭和转移过程的影响主要是通过调节细胞骨架结构及与细胞外各种蛋白水解酶相互作用实现的[11]。 前期研究发现Annexin A2 的泛素化表达,且与乳腺癌的浸润转移能力有关[12-13]。 在本实验中,通过干扰降低E6-AP 的表达,笔者发现Annexin A2 的mRNA 水平和蛋白水平得到正反馈的低表达,同时三阴性乳腺癌细胞的增殖和浸润能力减低,凋亡增强,这可能与Annexin A2泛素化调节诱导细胞纤溶、血管形成、血小板减低等能力有关。
三阴性乳腺癌是一种分子亚型特殊的乳腺癌,因为肿瘤细胞缺失内分泌及抗HER-2 治疗的靶标,目前尚无有针对性的临床标准治疗方案,内科治疗仍以化疗为主,选择的药物很少,患者的预后极差。前期研究发现,在三阴性乳腺癌细胞株MDA-MB-231 中,泛素-蛋白酶体系功能明显增强,其中E6-AP基因与蛋白质表达水平均显著增高,且其表达水平随着肿瘤细胞的浸润性增强而增高,彼此呈正相关,说明E6-AP 具有促进肿瘤生长和增强远处侵袭的生物学作用,同时证实Annexin A2 蛋白也呈现高表达[14],且有泛素化修饰[15],其与恶性肿瘤浸润及远处转移密切相关。 E6-AP 基因在部分恶性肿瘤细胞中则发挥了促进肿瘤发生发展的作用,比如宫颈癌、前列腺癌及淋巴瘤等[16]。 研究发现在受体阳性的乳腺癌MCF-7 细胞给予他莫昔芬后,E6-AP 表达明显下调,大量的细胞受阻于G0 ~G1 期,凋亡率增加,肿瘤抑制基因Bax、P21 上调,说明E6-AP 可能是他莫昔芬治疗受体阳性乳腺癌的靶点,经过进一步论证E6-AP 可能会成为乳腺癌治疗的下一个热点[17-18]。 在本实验中,笔者发现采用RNA 干扰三阴性乳腺癌MDA-MB-231 细胞中E6-AP 基因表达后,Annexin A2 的表达并没有呈现升高的趋势,反而随E6-AP 基因表达下调而呈现低表达趋势,再次证实两者呈正相关。
综上所述,在三阴性乳腺癌MDA-MB-231 细胞中,高表达的E6-AP 导致Annexin A2 异常的泛素化增加,诱导了Annexin A2 在肿瘤细胞中的高表达,而Annexin A2 由于E6-AP 基因的异常泛素化修饰的在细胞中大量聚积,改变了Annexin A2 的在肿瘤细胞中的亚细胞定位或功能,从而促进了肿瘤的发生与发展。 泛素化可能就是Annexin A2 调节肿瘤细胞的一个重要途径和机制。
[1]
Helchowski CM, Skow LF, Roberts KH, et al. A small ubiquitin binding domain inhibits ubiquitin-dependent protein recruitment to DNA repair foci[J]. Cell Cycle,2013,12(24):3749-3758.

[2]
Salomè M, Campos J,Keeshan K. TRIB2 and the ubiquitin proteasome system in cancer[J].Biochem Soc Trans,2015,43(5):1089-1094.

[3]
Ando H, Wen ZM, Kim HY, et al. Intracellular composition of fatty acid affects the processing and function of tyrosinase through the ubiquitin-proteasome pathway[J]. Biochem J, 2006,394(Pt 1):43-50.

[4]
Mattern MR, Wu J, Nicholson B. Ubiquitin-based anticancer therapy:carpet bombing with proteasome inhibitors vs surgical strikes with E1,E2, E3, or DUB inhibitors[J]. Biochim Biophys Acta,2012,1823(11):2014-2021.

[5]
Hillemanns P,Jentschke M,Evans TG,et al. Detection of E6-AP as a potential therapeutic target in cervical specimen of HPV-infected women[J]. Arch Gynecol Obstet,2014,289(6):1281-1286.

[6]
Deng S, Jing B, Xing T, et al. Overexpression of annexin A2 is associated with abnormal ubiquitination in breast cancer[J]. Genomics Proteomics Bioinformatics,2012,10(3):153-157.

[7]
Deng S, Wang J, Hou L, et al. Annexin A1, A2, A4 and A5 play important roles in breast cancer, pancreatic cancer and laryngeal carcinoma, alone and/or synergistically[J]. Oncol Lett,2013,5(1):107-112.

[8]
Deng S, Huang C. E3 ubiquitin ligases in regulating stress fiber,lamellipodium, and focal adhesion dynamics[J]. Cell Adh Migr,2014,8(1):49-54.

[9]
Zhang J, Song R, Li Y, et al. Integration of microarray profiles associated with cardiomyopathy and the potential role of E6-AP in apoptosis[J]. Mol Med Rep,2014,9(2):621-625.

[10]
Lokman NA, Ween MP, Oehler MK, et al. The role of Annexin A2 in tumorigenesis and cancer progression[J]. Cancer Microenviron,2011,4(2):199-208.

[11]
Li PG, Yang YL,Ge YT. Roles of annexin A2 for the regulation of the growth and cytoskeleton of tumor cells[J]. Sheng Li Ke Xue Jin Zhan,2010,41(6):457-460.

[12]
Hajjar KA. The biology of annexin A2: from vascular fibrinolysis to innate immunity[J]. Trans Am Clin Climatol Assoc, 2015,126:144-155.

[13]
Lauritzen SP, Boye TL, Nylandsted J. Annexins are instrumental for efficient plasma membrane repair in cancer cells[J]. Semin Cell Dev Biol,2015,45:32-38.

[14]
Jeon YR, Kim SY, Lee EJ, et al. Identification of annexin II as a novel secretory biomarker for breast cancer[J]. Proteomics, 2013,13(21):3145-3156.

[15]
Deng S, Jing B, Xing T, et al. Overexpression of annexin A2 is associated with abnormal ubiquitination in breast cancer [J]. Genomics Proteomics Bioinformatics,2012,10(3):153-157.

[16]
Wolyniec K, Shortt J, de Stanchina E, et al. E6AP ubiquitin ligase regulates PML-induced senescence in Myc-driven lymphomagenesis[J].Blood,2012,120(4):822-832.

[17]
Lochab S, Pal P, Kanaujiya JK, et al. Proteomic identification of E6AP as a molecular target of tamoxifen in MCF7 cells [ J].Proteomics,2012,12(9):1363-1377.

[18]
侯令密, 谢少利, 陈茂山, 等. E6 相关蛋白调节膜联蛋白A2 的表达对三阴性乳腺癌裸鼠移植瘤的影响[J/CD].中华妇幼临床医学杂志:电子版,2016,12(30):274-279.

文章导航

/


AI


AI小编
你好!我是《中华医学电子期刊资源库》AI小编,有什么可以帮您的吗?