切换至 "中华医学电子期刊资源库"
论著

乳腺癌新辅助化疗后雌、孕激素受体表达变化的临床意义

  • 陈圣 1 ,
  • 朱明华 2 ,
  • 黄焰 2 ,
  • 王怀涛 3 ,
  • 何奇 , 1,
展开
  • 1.200025,上海交通大学医学院附属国际和平妇幼保健院乳腺外科
  • 2.100039 北京,解放军总医院附属第五医学中心乳腺外科
  • 3.100039 北京,解放军总医院附属第五医学中心病理科
通信作者:何奇,Email:

收稿日期: 2020-08-11

  网络出版日期: 2022-02-07

版权

未经授权,不得转载、摘编本刊文章,不得使用本刊的版式设计,除非特别声明,本刊刊出的所有文章不代表中华医学会和本刊编委会的观点。本刊为电子期刊,以网刊形式出版。

Clinical significance of estrogen receptor/progesterone receptor expression changes in breast cancer patients after neoadjuvant chemotherapy

  • Sheng Chen 1 ,
  • Minghua Zhu 2 ,
  • Yan Huang 2 ,
  • Huaitao Wang 3 ,
  • Qi He , 1,
Expand
  • 1.Department of Breast Surgery, International Peace Maternal and Child Healthcare Institute, School of Medicine, Shanghai Jiao Tong University, Shanghai 200030, China
  • 2.Department of Breast Surgery, Fifth Medical Center, General Hospital of PLA, Beijing 100071, China
  • 3.Department of Pathology, Fifth Medical Center, General Hospital of PLA, Beijing 100071, China
Corresponding author: He Qi, Email:

Received date: 2020-08-11

  Online published: 2022-02-07

Copyright

Copyright by Chinese Medical Association No content published by the journals of Chinese Medical Association may be reproduced or abridged without authorization. Please do not use or copy the layout and design of the journals without permission. All articles published represent the opinions of the authors, and do not reflect the official policy of the Chinese Medical Association or the Editorial Board, unless this is clearly specified.

摘要

目的

探讨乳腺癌患者新辅助化疗(NAC)前后ER、PR表达变化与NAC疗效之间的关系。

方法

回顾性分析从2015年1月到2017年6月在解放军总医院第五医学中心行蒽环类联合紫杉类NAC后肿瘤未达到pCR的127例HER-2阴性浸润性乳腺癌患者的临床资料。通过免疫组织化学方法测定NAC前后肿瘤组织中ER、PR的表达。分别按照核染色比例≥1%、>10%和>20%来定义ER、PR阳性,判断NAC前后ER和PR的表达状态,两者完全一致为一致组,否则为差异组。用χ2检验或秩和检验比较一致组和差异组的临床病理特征,t检验或秩和检验比较2组的肿瘤缓解率。进一步分析差异组中ER、PR的变化状态,分为ER阴转阳、ER阳转阴、PR阴转阳和PR阳转阴4个亚组,采用方差分析对3种标准下4个亚组的肿瘤缓解率进行比较。

结果

以1%为界值,一致组与差异组患者的临床病理特征比较,差异无统计学意义(P均>0.050)。以10%为界值,2组在PR表达上差异有统计学意义(χ2=4.757,P=0.029)。以20%为界值,差异组中腋窝淋巴结转移、ER、PR阳性及三阴性乳腺癌的比例更高(χ2=5.572、8.683、11.724、4.686,P=0.018、0.003、0.001、0.030)。以1%为界值,一致组和差异组的肿瘤缓解率分别为(35.9±26.8)%、(46.8±23.8)%,差异有统计学意义(t=2.190, P=0.032)。以10%及20%为界值,一致组和差异组的肿瘤缓解率比较,差异无统计学意义[M(P25P75):37.3(21.4,53.6)%比38.5(26.8,54.7)%, Z=0.446, P=0.656; 39.1(22.7,55.1)%比39.5(27.3, 56.9)%, Z=0.548, P=0.584]。在核染色比例≥1%、>10%和>20% 3种标准下,4个亚组肿瘤缓解率比较,差异均无统计学意义(F=1.380、1.890、1.970,P=0.266、0.146、0.131)。

结论

当ER、PR以核染色比例≥1%为阳性标准时,NAC后ER或者PR状态变化的乳腺癌患者有望获得更高的肿瘤缓解率。NAC后ER、PR状态的不同变化并不会对NAC的疗效产生影响。

本文引用格式

陈圣 , 朱明华 , 黄焰 , 王怀涛 , 何奇 . 乳腺癌新辅助化疗后雌、孕激素受体表达变化的临床意义[J]. 中华乳腺病杂志(电子版), 2021 , 15(06) : 346 -351 . DOI: 10.3877/cma.j.issn.1674-0807.2021.06.003

Abstract

Objective

To explore the relationship between the expression changes of estrogen receptor (ER)/progesterone receptor (PR) before and after neoadjuvant chemotherapy (NAC) and the efficacy of NAC in breast cancer patients.

Methods

The clinical data of 127 patients with HER-2-negative invasive breast cancer who had not achieved pCR after NAC (anthracycline and docetaxel-based regimen) in the Department of Pathology, Fifth Medical Center, General Hospital of PLA from January 2015 to June 2017 were retrospectively analyzed. ER and PR expressions in tumor tissues before and after NAC were determined by immunohistochemistry. ER/PR was regarded as positive if nuclear staining percentage ≥1%, > 10% or > 20%, respectively. The patients with different ER/PR expression status before and after NAC were in Group A, and others were in Group B. The χ2 test or rank sum test was used to compare the clinicopathological characteristics between two groups. The t test or rank sum test was used to compare the tumor remission rates between two groups. According to the different change of ER and PR after NAC, Group A was divided into 4 subgroups: ER negative to positive subgroup, ER positive to negative subgroup, PR negative to positive subgroup and PR positive to negative subgroup. Analysis of variance was used to compare the tumor remission rates among 4 subgroups under the three positive expression standards.

Results

With nuclear staining percentage ≥1% as the positive standard, there was no statistically significant difference in clinicopathological characteristics between two groups (all P>0.050). With nuclear staining percentage >10% as the positive standard, PR expression showed a significant difference between two groups (χ2=4.757, P=0.029). With nuclear staining percentage >20% as the positive standard, Group A had higher rates of axillary lymph node metastasis, ER positive, PR positive and triple negative breast cancer compared with Group B (χ2=5.572, 8.683, 11.724, 4.686; P=0.018, 0.003, 0.001, 0.030). With nuclear staining percentage ≥1% as the positive standard, the tumor remission rate was (46.8±23.8)% in Group A, (35.9±26.8)% in Group B, indicating a significant difference (t=2.190, P=0.032). With nuclear staining percentage >10% or >20% as the positive standard, the tumor remission rate showed no significant difference between Group A and Group B[M(P25, P75): 38.5(26.8, 54.7)% vs 37.3(21.4, 53.6)%, Z=0.446, P=0.656; 39.5(27.3, 56.9)% vs 39.1(22.7, 55.1)%, Z=0.548, P=0.584]. Under the three positive expression standards (≥1%, >10% and >20%), there was no significant difference in tumor remission rate among four subgroups (F=1.380, 1.890, 1.970; P=0.266, 0.146, 0.131).

Conclusions

With nuclear staining percentage≥10% as the positive standard, the change of ER/PR status after NAC may indicate a higher tumor remission rate. The different changes of ER/PR status after NAC have no impact on the efficacy of NAC.

新辅助化疗(neoadjuvant chemotherapy,NAC)是临床上对于局部晚期乳腺癌常用的治疗手段,不但可以提高乳腺癌患者的保留乳房率,而且可以验证化疗药物的有效性,为后续治疗提供重要依据。临床试验证实NAC后pCR的患者与仍有肿瘤残留的患者比较,有更长的无瘤生存期[1]。CREATE-X试验结果表明,NAC后未发生pCR的患者术后口服卡培他滨可以进一步改善治疗效果[2]。通过NAC获得的疾病信息具有重要的临床意义。研究发现NAC会影响乳腺癌患者ER、PR、HER-2和Ki-67的表达水平[3,4],但目前关于这些变化是否对NAC疗效产生影响的报道并不多。笔者使用回顾性分析方法探索了ER、PR的变化与NAC疗效之间的关系,供同行参考。

资料与方法

一、一般资料

回顾性分析从2015年1月到2017年6月在解放军总医院第五医学中心行蒽环类联合紫杉醇类方案行NAC的乳腺癌患者的临床资料,将每例患者的空芯针穿刺活组织检查(core-needle biopsy,CNB)标本与术后病理标本配对。
纳入标准:(1)成年女性患者;(2)行CNB并诊断为Ⅰ ~ Ⅲ期HER-2阴性的浸润性乳腺癌;(3)按蒽环类联合紫杉醇类方案行NAC:表柔比星60 mg/m2或吡柔比星45 mg/m2,化疗周期第1天静脉滴注;多西他赛75 mg/m2,化疗周期第1天静脉滴注1 h,21 d为1个周期,完成6个周期;(4)NAC完成后行乳腺癌相关手术治疗;(5)穿刺活组织检查与术后切除标本均用于免疫组织化学分析;(6)穿刺活组织检查前和手术切除前均行乳腺超声检查,且肿瘤大小在超声下可准确测量。
排除标准:(1)CNB前接受过抗肿瘤治疗者;(2)未按规定剂量完成化疗者;(3)术后病理显示肿瘤完全缓解者;(4)临床资料不完整者。
这项研究经过解放军总医院第五医学中心伦理委员会/机构审查委员会审查和批准(ky-2019-2-5)。所有患者对检查与治疗方案均知情,并签署知情同意书。

二、组织获取

NAC前在超声引导下进行CNB,使用14 G以上的穿刺针,一般穿刺2~4次,置于10%中性甲醛溶液中固定。NAC后的病理标本均为手术切除。

三、检测指标

标本经过常规脱水浸蜡制成组织块,切片4 μm。HER-2、ER、PR、Ki-67等的检测均采用免疫组织化学EnVision法。HER-2、ER、PR、Ki-67抗体、二抗以及显色试剂盒均购自北京中杉金桥生物技术有限公司。结果判读由2名以上病理医师完成,且其中1名必须具备中级以上职业资格。

四、免疫组织化学结果判读

1.ER、PR

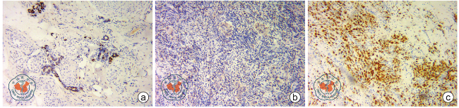
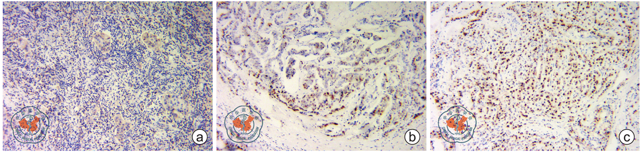
根据最新美国临床肿瘤学会/美国病理医师协会受体检测指南[5],通过免疫组织化学法进行ER和PR检测。核染色<1%为阴性;核染色1%~10%为弱阳性;核染色>10%为阳性。由于ER弱阳性的患者内分泌治疗获益的数据有限,且ER弱阳性癌的生物学行为与ER阴性癌更为相似[5],本研究将ER、PR阳性的界值分别设定为1%、10%和20%(阳性强度的对比见图1图2),在3种划分标准下分别进行分析,规避肿瘤异质性对研究结果的影响。
图1 雌激素受体阳性乳腺癌组织的免疫组织化学染色图(EnVision ×100) a~c图分别所示雌激素受体1%阳性、 10%阳性、 20%阳性
图2 孕激素受体阳性乳腺癌组织的免疫组织化学染色图(EnVision ×100) a~c图分别所示孕激素受体1%阳性、 10%阳性、 20%阳性

2.HER-2

根据美国临床肿瘤学会/美国病理医师协会指南,将免疫组织化学检测为HER-2(3+)定义为HER-2阳性,(-)或(+)定义为阴性,HER-2(2+)的患者需要行荧光原位杂交检测以确定HER-2状态[6]

3.Ki-67

在浸润性肿瘤细胞中计数,采取平均法。首先在低倍镜下扫描整张切片的阳性细胞分布,如果Ki-67表达分布较一致则记录每张切片内500个以上肿瘤细胞中阳性细胞的百分比。如果整张切片的分布不一致,则需在热点区域和阴性区域分别计数肿瘤细胞,再计算其中阳性细胞的百分比。2011年的《St. Gallen乳腺癌专家共识》将Ki-67≥14%定义为高表达[7]

五、缓解率的计算

根据实体瘤疗效评价标准(Response Evaluation Criteria in Solid Tumors, RECIST)[8],采用单径法取超声下可测量到目标病灶的最大径。目标病灶包括乳腺癌的原发病灶及超声下明确的腋窝转移病灶。
肿瘤缓解率[8]=(NAC前病灶最大径-NAC后病灶最大径)/NAC前病灶最大径×100%

六、分组情况

分别按照核染色比例≥1%、>10%和>20%的3种不同标准来定义ER、PR阳性,判断NAC前后ER和PR的表达状态,两者完全一致为一致组,否则为差异组。比较一致组与差异组的临床病理特征和NAC后肿瘤缓解率。
进一步分析差异组中ER、PR的变化状态,分为ER阴转阳、ER阳转阴、PR阴转阳和PR阳转阴4个亚组,并对3种划分标准下4个亚组的肿瘤缓解率进行比较。

七、统计学分析

采用SAS 9.1软件进行统计学分析。用χ2检验或秩和检验比较一致组和差异组的临床病理特征。以1%为界值,2组肿瘤缓解率数据符合正态分布和方差齐性,用±s表示,用 t检验比较;以10%及20%为界值,2组肿瘤缓解率数据经检验不符合正态分布,用M(P25P75)表示,采用秩和检验进行比较。各个亚组的肿瘤缓解率均符合正态分布,用±s表示,组间比较采用方差分析。所有的统计分析进行双侧检验,检验水准α=0.050。

结果

一、临床病理特征

共收集患者127例,年龄为(46.9±9.4)岁,范围25.0~73.0岁,其中43例患者已绝经。腋窝淋巴结阴性21例,腋窝淋巴结转移1~3枚93例,4枚及以上13例。T1、T2、T3、T4期患者分别为24、86、11、6例。临床分期ⅡA期、ⅡB期、ⅢA期、ⅢB期、ⅢC期分别有44、59、9、5和10例。
以1%为界值,一致组与差异组患者的临床病理特征比较,差异无统计学意义。以10%为界值,2组在PR表达上差异有统计学意义。以20%为界值,差异组中腋窝淋巴结转移、ER、PR阳性比例更高;同时更多的病例因为阳性标准的提高被归为三阴性导致2组间三阴性病例数量的差异,具体数据见表1
表1 在不同阳性判定标准下新辅助化疗前后ER、PR表达一致组与差异组乳腺癌患者的临床特征比较
临床病理特征 ≥1% >10% >20%
一致组(n=91) 差异组(n=36) 检验值 P 一致组(n=86) 差异组(n=41) 检验值 P 一致组(n=80) 差异组(n=47) 检验值 P
年龄                        
  ≤50岁 56 26 χ2=1.287 0.257 54 28 χ2=0.367 0.544 53 29 χ2=0.268 0.605
  >50岁 35 10 32 13 27 18
绝经                        
  31 12 χ2=0.006 0.937 28 15 χ2=0.201 0.654 24 19 χ2=1.437 0.231
  60 24 58 26 56 28
肿瘤大小                        
  T1 18 6 Z=0.670 0.503 15 9 Z=-0.571 0.568 16 8 Z=0.590 0.556
  T2 62 24 59 27 54 32
  T3 7 4 8 3 8 3
  T4 4 2 4 2 2 4
腋窝淋巴结转移                        
  阴性 16 5 χ2=0.255 0.614 18 3 χ2=3.728 0.054 18 3 χ2=5.572 0.018
  阳性 75 31 68 38 62 44
ER                        
  阴性 21 12 χ2=1.411 0.235 31 9 χ2=2.557 0.110 34 8 χ2=8.683 0.003
  阳性 70 24 55 32 46 39
PR                        
  阴性 29 18 χ2=3.638 0.057 45 13 χ2=4.757 0.029 49 14 χ2=11.724 0.001
  阳性 62 18 41 28 31 33
Ki-67                        
  <14% 22 9 χ2=0.010 0.922 24 7 χ2=1.766 0.184 19 12 χ2=0.051 0.821
  ≥14% 69 27 62 34 61 35
分子分型                        
  非三阴性 71 27 χ2=0.134 0.715 59 32 χ2=1.219 0.270 50 38 χ2=4.686 0.030
  三阴性 20 9 27 9 30 9

注:ER为雌激素受体;PR为孕激素受体;Ki-67为肿瘤增殖指数

二、肿瘤缓解率

以1%为界值分组,差异组的肿瘤缓解率高于一致组。以10%及20%为界值分组,2组患者肿瘤缓解率比较,差异没有统计学意义,具体数据见表2
表2 在不同阳性判定标准下新辅助化疗前后雌/孕激素受体表达一致组与差异组乳腺癌患者的肿瘤缓解率比较
标准及组别 例数 肿瘤缓解率(%) 检验值 P
≥1%        
  一致组 91 35.9±26.8a t=2.190 0.032
  差异组 36 46.8±23.8a    
>10%        
  一致组 86 37.3(21.4,53.6)b    
  差异组 41 38.5(26.8,54.7)b Z=0.446a 0.656a
>20%        
  一致组 80 39.1(22.7,55.1)b    
  差异组 47 39.5(27.3,56.9)b Z=0.548a 0.584a

注:a正态分布数据,组间比较采用t检验;b偏态分布数据,组间比较采用秩和检验

将差异组患者进行亚组分析,结果显示:在相同阳性判定标准下,不同亚组患者的肿瘤缓解率差异没有统计学意义,具体数据见表3
表3 在不同阳性判定标准下新辅助化疗前后ER/PR表达变化的乳腺癌患者肿瘤缓解率比较(±s)
变化方式 ≥1% >10% >20%
例数 缓解率(%) 例数 缓解率(%) 例数 缓解率(%)
ER阴转阳 7 36.4±27.7 7 30.9±32.4 6 28.5±34.9
ER阳转阴 6 54.3±10.4 5 30.8±23.2 7 25.0±21.7
PR阴转阳 9 58.1±22.9 11 53.2±23.3 13 48.0±25.7
PR阳转阴 14 45.7±24.0 18 40.2±18.3 21 42.8±20.4
F   1.380   1.890   1.970
P   0.266   0.146   0.131

注:ER为雌激素受体;PR为孕激素受体

讨论

研究表明:HER-2阳性乳腺癌患者使用包含曲妥珠单克隆抗体的NAC方案可以将pCR率提高到60%以上[9],而帕妥珠单克隆抗体的使用进一步改善HER-2阳性患者的疗效[10]。本研究选取了HER-2阴性的浸润性乳腺癌患者作为研究对象,在保护HER-2阳性乳腺癌患者利益的同时,避免HER-2阳性患者使用不含曲妥珠单克隆抗体方案的NAC带来的缓解率偏倚。
蒽环类联合紫杉类的方案曾经是临床上常用的NAC方案,患者尽早使用蒽环类和紫杉类药物可以在较短的时间内评估肿瘤对NAC的反应性,同时不良反应低于蒽环类联合紫杉类联合环磷酰胺的三药方案,患者耐受性更好。德国的GeparTrio试验结果显示:接受NAC 6个周期治疗的患者与8个周期的患者相比较,无论pCR率还是保留乳房率差异均没有统计学意义[11]。因此,本回顾性研究选取了行6个周期NAC的患者作为研究对象,避免化疗周期对于ER、PR表达及肿瘤缓解率的影响。
既往研究结果表明:将免疫组织化学检测中超过1%的肿瘤细胞阳性定义为ER/PR表达阳性,ER/PR表达阳性与阴性患者的预后比较,差异有统计学意义[12]。美国临床肿瘤学会/美国病理医师协会激素受体检测指南[5]中将ER/PR表达1%~10%阳性患者定义为低表达,临床特点更接近三阴性乳腺癌。中国抗癌协会将PR高表达的界值定为20%[13]。笔者最终选取了1%、10%、20% 3个界值分组并做了统计分析。结果显示:在以1%为界值时,NAC后ER/PR表达差异组的肿瘤缓解率高于一致组(P=0.032);在以10%或20%为界值时,差异组和一致组的肿瘤缓解率比较,差异无统计学意义(P=0.656、0.584)。分析其原因,可能有以下2点:(1)在以10%或20%为界值时,差异组入组了更多腋窝淋巴结转移的患者,NAC后腋窝淋巴结病灶的缓解是相对困难,如果进一步扩大病例数,在2组临床特征完全没有差异的情况下也许可以得到不同的结果;(2)有1%细胞ER、PR表达阳性的肿瘤仍与完全阴性的肿瘤存在着本质区别,在ER和PR阳性的判定标准上病理学标准与临床标准各有优势。
ER、PR、HER-2和Ki-67是目前乳腺癌诊治过程中常用的预后指标。既往研究发现NAC后Ki-67下降的患者可以获得更好的预后[14,15]。但是,在中国抗癌协会乳腺癌诊治指南中,PR缺失被认为是不良的预后因素[11]。本研究中PR阴转阳患者的肿瘤缓解率与其他亚组相比,差异无统计学意义,这可能是由于亚组分析的样本量不足,如果后续研究进一步扩大样本量,也许可以验证PR转阳作为一个独立预后影响因素的潜力。
关于NAC对乳腺癌分子标志物表达的影响,文献报道较多。Gahlaut等[14]给予246例可手术的乳腺癌患者接受蒽环类方案NAC治疗6个周期后,ER、PR、HER-2表达变化的比例分别为12.0%、14.5%和7.1%。Yang等[15]发现:在231例接受NAC的乳腺癌患者中有55例手术后ER、PR的表达发生了变化。本研究结果显示:在3种阳性判定标准下(≥1%、>10%、>20%),患者NAC前后ER或PR的变化率分别为28.3%(36/127)、32.3%(41/127)及37.0%(47/127)。
目前,临床医师往往忽略这些分子标志物的表达变化而按既定方案进行治疗。NAC后分子标志物表达变化的这部分患者是否需要差异化治疗?这些分子标志物的变化是否有临床意义?本研究针对NAC与ER、PR变化之间的关系进行一次初步的探索,虽然还不能得出明确的结论,但也得到了一些阳性结果,后续可在患预后、肿瘤分化、基因分析等方面进一步深入研究。
综上所述,蒽环类联合紫杉类方案NAC后浸润性乳腺癌患者的ER、PR表达变化具有一定的临床意义。ER/PR表达以核染色≥1%为阳性标准时,NAC后ER或者PR状态发生变化的患者有可能获得更高的肿瘤缓解率。NAC后ER、PR状态的不同变化会影响到后续治疗方案的选择,但并不会对NAC的疗效产生影响。
[1]
Spring L, Greenup R, Niemierko A, et al. Pathologic complete response after neoadjuvant chemotherapy and long-term outcomes among young women with breast cancer[J]. J Natl Compr Canc Netw201715(10):1216-1223.

[2]
Masuda N, Lee SJ, Ohtani S, et al. Adjuvant capecitabine for breast cancer after preoperative chemotherapy[J]. N Engl J Med2017376(22):2147-2159.

[3]
Avci N, Deligonul A, Tolunay S, et al. Neoadjuvant chemotherapy-induced changes in immunohistochemical expression of estrogen receptor, progesterone receptor, HER2, and Ki-67 in patients with breast cancer[J]. J BUON201520(1):45-49.

[4]
Cockburn A, Yan J, Rahardja D, et al. Modulatory effect of neoadjuvant chemotherapy on biomarkers expression; assessment by digital image analysis and relationship to residual cancer burden in patients with invasive breast cancer[J]. Hum Pathol201445(2):249-258.

[5]
Allison KH, Hammond MEH, Dowsett M, et al. Estrogen and progesterone receptor testing in breast cancer: American Society of Clinical Oncology/College of American Pathologists Guideline Update[J]. Arch Pathol Lab Med, 2020144(5):545-563.

[6]
Wolff AC, Hammond MEH, Allison KH, et al. Human epidermal growth factor receptor 2 testing in breast cancer: American Society of Clinical Oncology/College of American Pathologists Clinical Practice Guideline Focused Update[J]. J Clin Oncol, 201836(20):2105-2122.

[7]
Goldhirsch A, Wood WC, Coates AS, et al. Strategies for subtypes--dealing with the diversity of breast cancer: highlights of the St. Gallen International Expert Consensus on the Primary Therapy of Early Breast Cancer 2011[J]. Ann Oncol201122(8):1736-1747.

[8]
Eisenhauer EA, Therasse P, Bogaerts J, et al. New response evaluation criteria in solid tumors: revised RECIST guideline (version 1.1) [J]. Eur J Cancer200945(2):228-247.

[9]
Buzdar AU, Ibrahim NK, Francis D, et al. Significantly higher pathologic complete remission rate after neoadjuvant therapy with trastuzumab, paclitaxel, and epirubicin chemotherapy: results of a randomized trial in human epidermal growth factor receptor 2-positive operable breast cancer[J]. J Clin Oncol200523 (16):3676-3685.

[10]
Shao Z, Pang D, Yang H, et al. Efficacy, safety, and tolerability of pertuzumab, trastuzumab, and docetaxel for patients with early or locally advanced ERBB2-positive breast cancer in Asia: the PEONY phase 3 randomized clinical trial[J]. JAMA Oncol20206(3):e193692.

[11]
von Minckwitz G, Kümmel S, Vogel P, et al. Neoadjuvant vinorelbine-capecitabine versus docetaxel-doxorubicin-cyclophosphamide in early nonresponsive breast cancer: phase Ⅲ randomized GeparTrio trial[J]. J Natl Cancer Inst2008100(8):542-551.

[12]
杨文涛,步宏. 乳腺癌雌、孕激素受体免疫组织化学检测指南[J]. 中华病理学杂志201544(4):237-239.

[13]
中国抗癌协会乳腺癌专业委员会.中国抗癌协会乳腺癌诊治指南与规范(2019年版)[J]. 中国癌症杂志201929(8):609-680.

[14]
Gahlaut R, Bennett A, Fatayer H, et al. Effect of neoadjuvant chemotherapy on breast cancer phenotype, ER/PR and HER2 expression-implications for the practising oncologist[J]. Eur J Cancer201660:40-48.

[15]
Yang L, Zhong X, Pu T, et al. Clinical significance and prognostic value of receptor conversion in hormone receptor positive breast cancers after neoadjuvant chemotherapy[J]. World J Surg Oncol201816(1):51.

文章导航

/


AI


AI小编
你好!我是《中华医学电子期刊资源库》AI小编,有什么可以帮您的吗?