切换至 "中华医学电子期刊资源库"
病例报告

乳腺及副乳腺假血管瘤样间质增生一例

  • 胡婉珍 1 ,
  • 巩鹏 , 1,
展开
  • 1.518000 深圳大学总医院普外科
通信作者:巩鹏,Email:

收稿日期: 2019-07-12

  网络出版日期: 2021-10-18

版权

未经授权,不得转载、摘编本刊文章,不得使用本刊的版式设计,除非特别声明,本刊刊出的所有文章不代表中华医学会和本刊编委会的观点。本刊为电子期刊,以网刊形式出版。

Pseudoangiomatous stromal hyperplasia of the breast and accessory breast: one case report

  • Wanzhen Hu 1 ,
  • Peng Gong , 1
Expand

Received date: 2019-07-12

  Online published: 2021-10-18

Copyright

Copyright by Chinese Medical Association No content published by the journals of Chinese Medical Association may be reproduced or abridged without authorization. Please do not use or copy the layout and design of the journals without permission. All articles published represent the opinions of the authors, and do not reflect the official policy of the Chinese Medical Association or the Editorial Board, unless this is clearly specified.

本文引用格式

胡婉珍 , 巩鹏 . 乳腺及副乳腺假血管瘤样间质增生一例[J]. 中华乳腺病杂志(电子版), 2021 , 15(04) : 256 -258 . DOI: 10.3877/cma.j.issn.1674-0807.2021.04.013

乳腺假血管瘤样间质增生(pseudoangiomatous stromal hyperplasia,PASH)是一种罕见的乳腺良性病变,由梭形细胞团形成的复杂、不规则、相互吻合的裂隙状假血管腔组成。Vuitch等[1]于1986年报道了1例患者。PASH发病年龄为14~67岁[2],临床表现以及影像学特征均无特异性[3],因此常易被忽略或漏诊。在组织学分析时,PASH可能被误认为低级别的血管肉瘤或叶状肿瘤,正确识别乳腺PASH对患者的治疗具有重要的意义[4,5,6]。笔者结合国内外相关文献,对1例29岁女性多次复发的乳腺及副乳腺PASH进行报道。

一、临床资料

患者,29岁,女性,已婚已育,于2017年8月因双乳肿块在外院行双乳肿块切除术,术后病理提示:(1)左乳硬化性腺病;(2)右乳硬化性腺病伴不典型增生。患者于2018年1月因右乳肿块在外院行右乳肿块切除术,术后病理提示:右乳纤维瘤伴腺体呈柱状细胞增生及PASH。术后患者双乳继续进行性肿大,左侧为甚,并伴乳腺多发团块状结节。2018年3月患者在外院行双侧乳腺单纯切除术,术后病理提示:双侧乳腺纤维囊性增生症伴间质血管瘤样增生。2018年12月患者无明显诱因发现左腋窝肿块,为绿豆样大小,未予重视。2019年1月自觉左腋窝肿块明显增大,大小约8.0 cm×7.0 cm,周围皮肤无红肿、无破溃,为求进一步诊治特来深圳大学总医院就诊。专科查体:双乳缺陷,双侧胸壁分别可见长约15 cm横行陈旧性手术瘢痕及数个长约1.0~2.0 cm陈旧性手术瘢痕(图1)。左腋窝可扪及一大小约7.0 cm×8.0 cm肿块,质软,边界欠清,活动度尚可,轻微触痛。右腋下未触及明显肿大淋巴结。2019年2月21日患者在本院门诊行彩色超声检查,结果提示:左侧腋窝实性肿块;结合病史,肿块符合血管源性肿瘤表现(图2)。2019年2月26日患者入院后行肺部CT平扫+增强检查,结果提示:双侧乳腺切除术后改变,左侧腋窝软组织肿块,大小约3.6 cm×2.5 cm×10.0 cm,建议穿刺活组织检查明确诊断;周围有多个小淋巴结影,较大者直径约0.6 cm。患者于2019年2月26日在全身麻醉下行左腋窝肿块切除术+左腋窝淋巴结活组织检查术。术中冰冻病理检查提示:(1)送检乳腺组织(左腋窝肿块)内见梭形细胞增生伴有裂隙样结构,穿插于乳腺小叶内及小叶间,考虑间叶源性肿瘤,待常规病理及免疫组织化学检查确诊;(2)送检皮肤组织(左、右切缘)内见肿瘤组织;(3)送检5枚左腋窝淋巴结,选其中1枚制片,显微镜下未见肿瘤转移及其他异常。术中观察肿瘤已侵犯表层皮肤,遂扩大切除肿块表面皮肤,送术后病理检查。术后病理检查提示:(1)左腋窝肿块符合副乳腺PASH(图3)。肿瘤大小为5.0 cm×5.0 cm×3.0 cm,切面呈灰红、灰白色,质软,与周围组织分界不清。免疫组织化学结果:梭形细胞Bcl-2(+)、CD31(-)(图4a)、CD34(+)(图4b)、CD99(+)、CK(-)、desmin (部分+)、ER(-)、VIII因子(-)、Ki-67(约3%+)、PR(-)、SMA(+)、vimentin(+)。(2)送检皮肤组织(左、右切缘)内见肿瘤组织。(3)送检5枚左腋窝淋巴结未见转移瘤,呈反应性增生。患者术后1周恢复,顺利出院。患者出院后定期到本院复查乳腺超声,未见复发。
图1 乳腺及副乳腺假血管瘤样间质增生患者术前左腋窝肿块
图2 乳腺及副乳腺假血管瘤样间质增生患者左腋窝彩色超声检查
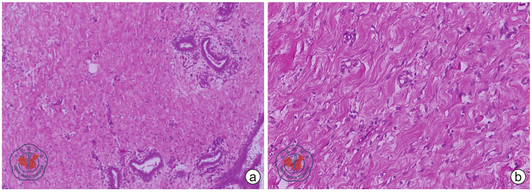
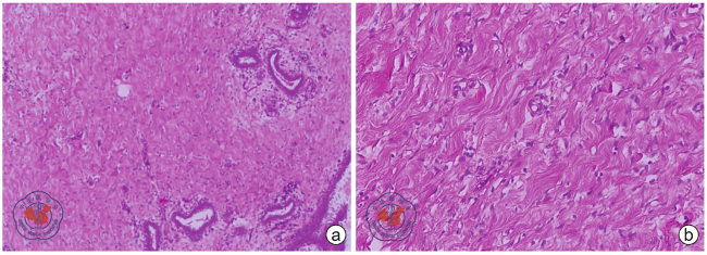
图3 乳腺及副乳腺假血管瘤样间质增生患者左腋窝肿块镜下表现 a图所示肿块镜下边界不清,梭形细胞增生伴致密胶原沉积,穿插于乳腺小叶间及小叶内(HE ×100);b图所示梭形细胞形态温和,排列成大小不等、不规则裂隙状结构,未见明显核分裂象(HE ×200)
图4 乳腺及副乳腺假血管瘤样间质增生患者左腋窝肿块免疫组织化学染色结果 a图所示CD31(-)(EnVision ×100);b图所示CD34(+)(EnVision ×200)

二、讨论

PASH是一种良性乳腺疾病,其特征是乳腺间质组织致密增生,形成由内皮样梭形细胞排列的相互吻合的通道[7]。患者多为绝经前女性,或长期激素治疗的绝经后女性,但也有发生于男性的文献报道[8],一般是发生于男性乳房发育的患者。PASH镜下可呈结节性与非结节性,其中结节性PASH常见于绝经前女性,临床表现为边界清楚、移动度好、质地较硬的无痛性非炎症包块[9],非结节性PASH多见于绝经后女性、成年男性,甚至是青少年患者[10]
对PASH可以采用个体化治疗。如果查体或影像学发现乳房肿块,可行空芯针穿刺活组织检查明确诊断,并不总是需要手术切除[11]。2018年美国乳腺外科医师学会第19届年会公布的良性乳腺疾病明智选择中,第一条即为不常规手术切除无症状患者的乳腺PASH区域[12]。但是,由于PASH的罕见性、临床行为的不确定性以及表现为巨乳症时影响外观,外科切除往往是推荐的治疗方法[1,3,13]。Yoon等[14]的研究表明,通过细针穿刺活组织检查足以明确PASH的诊断,不必再通过手术来排除隐匿的恶性肿瘤。而当PASH肿块大于3 cm或者肿块生长速度很快时,密切观察随访或者乳腺手术切除是很有必要的。有研究表明,如果在切除其他病变时意外在组织学检查中发现PASH,并不需要做额外的治疗[15]。目前鲜见PASH患者只行激素治疗或随访而不行手术切除的长期临床研究结果。
笔者报道了1例表现为巨乳症且多次复发的29岁女性双乳及左侧副乳腺PASH患者。表现为巨乳症的PASH患者非常罕见,其具体的乳腺组织增生机制尚未明确,但是目前研究者认为与肌成纤维细胞对激素(尤其是黄体酮)刺激的过度反应有关[16]。Ryu等[7]认为,表现为巨乳症的患者可采用乳房缩小术治疗,一般不考虑全切术。Degnim等[9]在针对PASH与乳腺癌风险的研究中指出,患者有PASH并不会增加其罹患乳腺癌的风险,该病无论肿块有多大,均不考虑全乳切除术。Drinka等[16]对9例PASH合并乳腺浸润性癌患者的临床资料进行分析后发现,PASH病灶内并没有恶性病变,PASH与浸润性导管癌之间没有直接相关性。因此笔者认为,该类患者行双侧乳腺单纯切除术及腋窝淋巴结活组织检查均不恰当,应尽量避免过度治疗。
研究报道:部分患者行乳腺肿块切除术后仍出现复发,多考虑手术未切除干净所致[17]。本例患者行双乳PASH切除后反复复发,其因左腋窝复发PASH在本院行手术治疗时,笔者尽量将肿块完整切除,确保切缘无肿瘤细胞,从而减少了因手术切除不彻底引起的复发风险。
PASH在组织形态上与高分化血管肉瘤相似,但是两者的表现还是有很多不同之处。在显微镜下,PASH间质内为大量胶原纤维形成的不规则、可互相吻合的类似假血管的腔隙,腔隙内无红细胞,内衬的细胞CD31免疫组织化学染色阴性,提示不是血管内皮细胞,而是梭形细胞,且PASH病变可见于小叶间及小叶内间质,乳腺小叶结构常常存在,对周围组织无侵犯,无浸润性生长特点。血管肉瘤是由血管内皮细胞或向血管内皮细胞方向分化的间叶细胞发生的恶性肿瘤。其肿瘤细胞具有正常内皮细胞的形态和功能特点。在显微镜下,血管肉瘤的腔隙是由异型性内皮细胞所组成,核分裂象及核异型性明显增多,腔隙内可见大量红细胞,且不受乳腺正常组织解剖结构的束缚而呈浸润性生长。并且,血管肉瘤免疫组织化学CD31及CD34几乎均为阳性,而PASH的CD34多为阳性,CD31却为阴性。
总之,有关PASH的资料和研究都比较少,PASH所致的乳房增生机制尚未明确,PASH的治疗原则也尚未统一,这些都有待进一步研究。
[1]
Vuitch MF, Rosen PP, Erlandson RA. Pseudoangiomatous hyperplasia of mammary stromal[J]. Hum Pathol, 198617(2):185-191.

[2]
Okoshi K, Ogawa H, Suwa H, et al. A case of nodular pseudoangiomatous stromal hyperplasia (PASH) [J]. Breast Cancer, 200613(4):349-353.

[3]
Hargaden GC, Yeh ED, Georgian-Smith D, et al. Analysis of the mammographic and sonographic features of pseudoangiomatous stromal hyperplasia[J]. AJR Am J Roentgenol, 2008191(2):359-363.

[4]
Cohen MA, Morris EA, Rosen PP, et al. Pseudoangiomatous stromal hyperplasia: mammographic, sonographic, and clinical patterns[J]. Radiology1996198(1):117-120.

[5]
Goel NB, Knight TE, Pandey S, et al. Fibrous lesions of the breast: imaging-pathologic correlation[J]. Radiographics200525(6):1547-1559.

[6]
Mercado CL, Naidrich SA, Hamele-Bena D, et al. Pseudoangiomatous stromal hyperplasia of the breast: sonographic features with histopathologic correlation[J]. Breast J200410(5):427-432.

[7]
Ryu EM, Whang IY, Chang ED. Rapidly growing bilateral pseudoangiomatous stromal hyperplasia of the breast[J]. Korean J Radiol, 201011(3):355-358.

[8]
Vega RM, Pechman D, Ergonul B,et al. Bilateral pseudoangiomatous stromal hyperplasia tumors in axillary male gynecomastia: report of a case[J]. Surg Today201545(1):105-109.

[9]
Degnim AC, Frost MH, Radisky DC. Pseudoangiomatous stromal hyperplasia and breast cancer risk[J]. Ann Surgical Oncol, 201017(12):3269-3277.

[10]
Almohawes E, Khoumais N, Arafah M. Pseudoangiomatous stromal hyperplasia of the breast: a case report of a 12-year-old girl[J]. Radiol Case Rep, 201510(3):1-4.

[11]
Powell CM, Cranor ML, Rosen PP. Pseudoangiomatous stromal hyperplasia (PASH). A mammary stromal tumor with myofibroblastic differentiation[J]. Am J Surg Pathol, 199519(3): 270-277.

[12]
Rao R, Ludwig K, Bailey L, et al. Select choices in benign breast disease: an initiative of the American Society of Breast Surgeons for the American Board of Internal Medicine Choosing Wisely® Campaign [J]. Ann Surg Oncol, 201825(10):2795-2800.

[13]
Ferreira M, Albarracin CT, Resetkova E. Pseudoangiomatous stromal hyperplasia tumor: a clinical, radiologic and pathologic study of 26 cases[J]. Mod Pathol, 200821(2):201-207.

[14]
Yoon KH, Koo B, Lee KB, et al. Optimal treatment of pseudoangiomatous stromal hyperplasia of the breast[J]. Asian J Surg201943(7):735-741.

[15]
Virk RK, Khan A. Pseudoangiomatous stromal hyperplasia: an overview[J]. Arch Pathol Lab Med, 2010134(7):1070-1074.

[16]
Drinka EK, Bargaje A, Ersahin CH, et al. Pseudoangiomatous stromal hyperplasia (PASH) of the breast: a clinicopathological study of 79 cases[J]. Int J Surg Pathol, 2012, 20(1):54-58.

[17]
凌浩淞,杨钰娟,杨鑫,等. 女性乳腺假血管瘤样间质增生1例报告[J]. 临床医学进展2018, 8(1): 69-72.

文章导航

/


AI


AI小编
你好!我是《中华医学电子期刊资源库》AI小编,有什么可以帮您的吗?